このクラウドファンディングは達成しませんでした。支援予約はすべてキャンセルとなります。銀行振込みにより支援を行った方には、当社より返金が行われます。
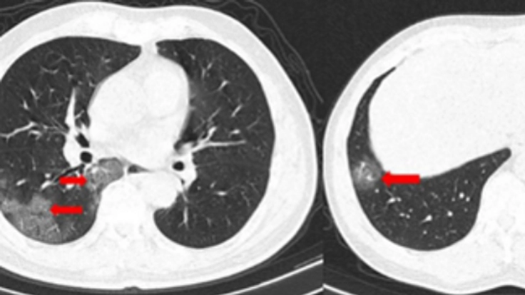
新型コロナウィルスによる肺炎を早期発見する為の低線量CT導入

このクラウドファンディングは達成しませんでした。支援予約はすべてキャンセルとなります。銀行振込みにより支援を行った方には、当社より返金が行われます。
支援総額
75,000円
目標金額 1,000,000円
- 支援者
- 5人
- 募集終了日
- 2020年10月30日
https://readyfor.jp/projects/39363?sns_share_token=&utm_source=pj_share_url&utm_medium=social
2020年08月17日 21:29
イタリア新型コロナによる死者の平均年齢は80歳、96%に持病あり
イタリア新型コロナウィルスの死者統計(2020/5/27)
イタリア国立衛生研究所(ISS)は新型コロナウィルスによる死者の統計を発表しました。
タイトルにもあるように死亡した人の96%に持病があり、平均年齢は80歳とのことでした。
持病の種類としては、高血圧(68%)、糖尿病(30%)、心臓病(28%)であり、60%近くが3つ以上の基礎疾患に苦しんでいた、とのことです。
やはり、ここからわかることも日本の見解とほぼ同じで、"持病のある方・ご高齢の方にいかに感染させないか"と言うことにつきると思います。
当然、まれに若くて元気な方も何かのきっかけで重症化することも”0”ではないと思いますが、基本的にはリスクの高い方に感染させないような方向で行政の指導もシフトチェンジしていくべきだと思います。
リターン
1,000円
第2波コロナウィルス肺炎早期発見の為のCT導入基金
救命できた方の報告書(メールにてお送りします)
- 申込数
- 0
- 在庫数
- 制限なし
- 発送完了予定月
- 2021年1月
5,000円
第2波コロナウィルス肺炎早期発見の為のCT導入基金
救命できた方の報告書(メールにてお送りします)
竣工時の記念品
- 申込数
- 3
- 在庫数
- 制限なし
- 発送完了予定月
- 2021年1月
1,000円
第2波コロナウィルス肺炎早期発見の為のCT導入基金
救命できた方の報告書(メールにてお送りします)
- 申込数
- 0
- 在庫数
- 制限なし
- 発送完了予定月
- 2021年1月
5,000円
第2波コロナウィルス肺炎早期発見の為のCT導入基金
救命できた方の報告書(メールにてお送りします)
竣工時の記念品
- 申込数
- 3
- 在庫数
- 制限なし
- 発送完了予定月
- 2021年1月
1 ~ 1/ 5
このページを見た人はこんなプロジェクトもチェックしています
NPO法人GIFT 
北陸フードバンク推進協議会
JAF(一般社団法人日本自動車連盟)こども安全...
認定NPO法人D×P
公益財団法人 関西盲導犬協会
平安養育院
天王寺動物園

サンタがやってくるクリスマス。高知のひとり親家庭に、特別な思い出を
22%
- 現在
- 137,000円
- 支援者
- 16人
- 残り
- 20日

あしながサンタ2025|笑顔を灯すエールをこどもたちに届けたい
30%
- 現在
- 1,515,000円
- 寄付者
- 97人
- 残り
- 26日

“子どもの未来を守る”『JAFこども安全ベスト』製作プロジェクト
198%
- 現在
- 1,590,000円
- 支援者
- 125人
- 残り
- 2日

物価高でごはん食べられない若者に今すぐ食糧を|緊急支援2025冬
32%
- 現在
- 12,882,000円
- 寄付者
- 356人
- 残り
- 21日

Kansaiわんスリーサポーター!~盲導犬の育成にご支援を~
継続寄付
- 総計
- 60人

児童養護施設平安養育院|子どもたちの「もっと遊びたい!」を叶えたい
103%
- 現在
- 10,340,000円
- 寄付者
- 162人
- 残り
- 17時間

アムールトラ「ショウヘイ」に、みんなでつくるおもちゃ箱をプレゼント
46%
- 現在
- 6,440,000円
- 支援者
- 402人
- 残り
- 63日











