
支援総額
目標金額 750,000円
- 支援者
- 68人
- 募集終了日
- 2025年11月16日

ジジを助けたいです。元野良猫ジジのFIP治療費のお願い。
#動物
- 現在
- 535,000円
- 支援者
- 95人
- 残り
- 2日

【FIP 猫伝染性腹膜炎】治療費のためにご支援お願いします!
#医療・福祉
- 現在
- 278,000円
- 支援者
- 58人
- 残り
- 3日

13年ケージに入れられていたチワワに手術を受けさせたい
#動物
- 現在
- 181,000円
- 支援者
- 24人
- 残り
- 13日

老病ねこたちが最後まで安心して過ごせるおうちを守っていきたい!
#医療・福祉
- 現在
- 2,065,000円
- 支援者
- 165人
- 残り
- 6日

置き去りにされた猫に手術を行いたい
#地域文化
- 現在
- 366,000円
- 支援者
- 63人
- 残り
- 1日

【尿管閉塞】愛猫ノエルくんに治療費のご支援をお願い致します。
#子ども・教育
- 現在
- 166,000円
- 支援者
- 29人
- 残り
- 8日

地域の野良猫を守りたい!小さな命にTNRと医療を届けるプロジェクト
#動物
- 現在
- 58,000円
- 支援者
- 18人
- 残り
- 1日
プロジェクト本文
数あるプロジェクトの中から当ページを閲覧いただきありがとうございます。
松本と申します。
1歳のサイベリアン、ハチと暮らしております。
▼自己紹介
名前:ハチ
猫種:サイベリアン
性別:オス
年齢:1歳
性格:
かなりの甘えん坊な性格をしております。
人見知りですが、最近は家に来た知らない人にも少しずつ慣れてきて人見知りが解消しつつあります。
人に噛みついたり、猫パンチを未だ一度もしたことのない優しい猫です。
▼プロジェクトを立ち上げたきっかけ
2025年9月8日
いつものように仕事から帰ると、餌やトイレが散らかっており、とてもぐったりした様子でトイレの砂の上で横になっていました。
いつもなら帰ってくると元気に鳴いたり、キャットタワーに登ったりするのですが一歩も動かずおとなしい様子でした。
しかし、食欲はあるようで吐いた様子もないのでどうしたものかと思っていると、歩く際に足を付かないようにしていました。
その瞬間に脱臼、捻挫、骨折のどれかであると考え、緊張しながらお世話になっている病院や近くの病院に電話をしたのですが、
あいにく繋がりませんでした。その為、やむを得ず次の日の朝に予約を取り先生に診ていただきました。
2025年9月9日
レントゲンを撮っていただくと、
「左大腿骨が折れている為、手術が必要」と診断いただきました。
ただ、診ていただいた病院さんでは手術の対応ができない上に大規模な手術になる為、
「整形外科に特化した病院さんを紹介できるのでそこで診てもらった方が良い」とご助言いただき、
急いで別の病院へとりついでもらいました。
そちらで診ていただくと、
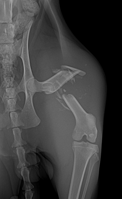
【左側大腿骨骨幹部粉砕骨折】と診断されました。
「手術をしなければ足がうまくくっ付かずに壊死する可能性がある」
そう先生に言われ、大変ショックを受けました。
手術をしない限りはこの子がうまく歩けなくなる可能性の方が高いと思い、費用のことは一旦考えずに手術を行うことを決断いたしました。粉砕骨折の為、「手術をしても綺麗にくっつかない可能性もある」と申されましたが、藁にもすがる思いで施術をお願いしました。
駆け込んだ病院の先生には大変良くしていただき、当日にも関わらず即手術の準備をして下さり、その日の夕方には帰宅できるよう手配して下さりました。
手術内容としては粉砕骨折の為、プレートとスクリューによる固定をしていただきました。
今回の手術は費用がかなりの高額です。
飼い主として大変不甲斐ないのですが、この金額を支払うには大変厳しい経済状況であった為
今回READYFORでプロジェクトを立ち上げることを決めました。
皆様には治療にかかったお金とこれからの通院にかかるお金をご支援いただきたく存じます。
どうか皆様の力をお貸しください。よろしくお願いいたします。
術前レントゲン画像
画像の通り細かく骨が折れており、かなりの激痛だったと思います...
術後レントゲン画像
下記画像のような形で固定をしていただきました。
以下、診断書です。
手術費は629,800円ですが、手術前の預け金で200,000円を先に支払っております。
※雨でインクが滲んでおり、一部見づらい点がございます。
▼プロジェクトの内容
(1)資金の使途ハチの左側大腿骨骨幹部複雑骨折の過去の治療費と今後の検診費にあてます
(2)目標金額と資金の内訳目標金額:750,000円
(資金の内訳)
今までの治療費:629,800円(A病院)
今後の検診費:18,000円(A病院)
合計:647,800円
手数料(税別・14%) : 90,692円
税金(10%):9,069円
今回税込手数料を含めて750,000円を目標金額としております。※
※今までの治療費+今後の検診費+手数料(税別・14%)+ 税金(10%)=747,561円
目標金額と治療費+手数料の差額(2,439円)は病院への交通費として使わせていただきます。
(3)集める資金を使用しての治療期間
2025年9月9日〜2025年12月9日
※治療内容や治療費、治療期間は動物病院の確認が取れています。
▼プロジェクトの展望・ビジョン
ハチの治療費、検診費、交通費、クラウドファンディング税込手数料に利用させていただきます。
<ご支援にあたっての注意事項>
▶︎ 1. ペット保険について
①ペット保険による補償の有無:無
▶︎ 2. 万が一の場合の代替の資金使途について
万が一ハチが亡くなってしまった場合、いただいた支援金については、返金はせずこれまでの治療費に当てさせていただきます。
▶︎ 3. 問い合わせ先について本クラウドファンディングに関するお問合せは以下までご連絡ください。
連絡先:chiq7525@gmail.com
▶︎ 4. 掲載している資料について
ページ上に掲載している診断書や診療明細書などの資料は全て動物病院から掲載の許諾を得ております。
▶︎ 5.治療方針などが変更になった場合についてプロジェクト実施完了までの間に、治療方針や治療の要否に変更が生じた場合、支援者の皆様、READYFOR事務局に速やかにお伝えします。
▶︎ 6.READYFOR事務局からのご連絡ペットの治療費用を集めるクラウドファンディングに関しては、以下のガイドラインもご確認ください。ペットの治療費用を集めるクラウドファンディングに関する当社の考えhttps://legal.readyfor.jp/guidelines/launching_project/pet_care/
- プロジェクト実行責任者:
- 松本 拓人
- プロジェクト実施完了日:
- 2025年12月9日
プロジェクト概要と集めた資金の使途
粉砕骨折した愛猫の治療と通院 資金用途:手術はすでに完了している為、支援金は過去に支払った治療費と、今後の検診費、交通費、税込み手数料に充てます
あなたのシェアでプロジェクトをさらに応援しよう!
プロフィール
あなたのシェアでプロジェクトをさらに応援しよう!
リターン
1,000円+システム利用料

リターン1
感謝のメールを送らせていただきます
- 申込数
- 61
- 在庫数
- 制限なし
- 発送完了予定月
- 2026年1月
5,000円+システム利用料

リターン2
感謝のメールを送らせていただきます
- 申込数
- 18
- 在庫数
- 制限なし
- 発送完了予定月
- 2026年1月
1,000円+システム利用料

リターン1
感謝のメールを送らせていただきます
- 申込数
- 61
- 在庫数
- 制限なし
- 発送完了予定月
- 2026年1月
5,000円+システム利用料

リターン2
感謝のメールを送らせていただきます
- 申込数
- 18
- 在庫数
- 制限なし
- 発送完了予定月
- 2026年1月










