
支援総額
目標金額 9,000,000円
- 支援者
- 2,058人
- 募集終了日
- 2025年1月24日
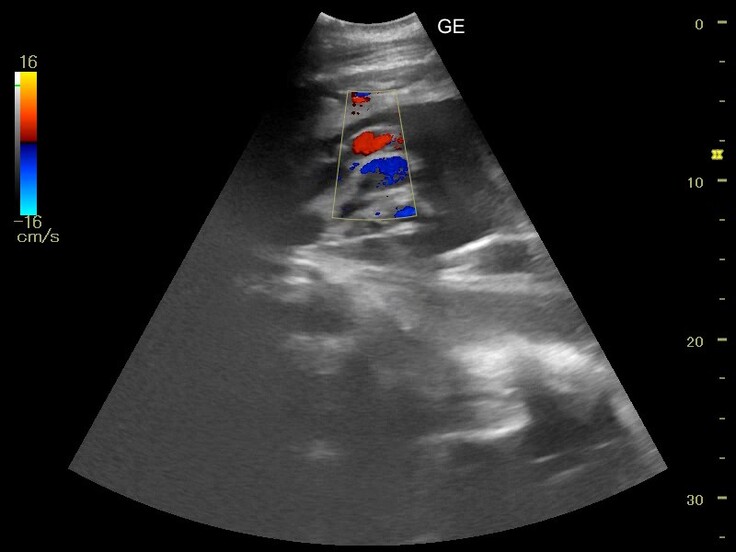
【メイちゃんの近況報告⑦】超音波検査を行いました
安佐動物公園のゾウ達に興味を持っていただきありがとうございます。
昨日1月8日に、メイのお腹の超音波検診を行いましたので、その様子を紹介します。
現在、メイの検診は後ろ足の間から手を入れて、お腹の下から上に向かって超音波を当てる方法で行っています。
練習したトレーニングで検診のあいだ動かずにいてくれるメイですが、大きな動物ですので検査にも危険が伴います。超音波検査を行う際は、ゾウ担当の飼育係が最低3名、獣医師も最低3名で行うことにしています。獣医師のうち1人は、いざというとき超音波診断装置を逃がす係です。
また、メイの姿勢にも安全のための工夫をしています。エコーを当てている間、獣医師はメイのお尻の下に体を半分入れる形になります。この状態でメイが大きく動くと、柵とメイに挟まれてしまう危険があるので、検査をする間はエコーを当てる側の肢を上げてもらい、その足と獣医の間に必ず柵がくる形で実施しています。
肝心の検査結果ですが、今回の検査では、胎児は超音波で見える範囲でじっとしてくれず、様子をはっきりと見ることはできませんでした。
ですが、へその緒の様子は確認できました。

詳しくみてみたところ、へその緒の中にちゃんと血流があることも確認できました。
この結果から、胎児の心臓はちゃんと動いているだろうということが確認できました。
順調にいけば、今年2025年の8月から10月くらいの期間で生まれてくる予定です。
ご支援いただいたリターンの「赤ちゃんゾウの成長報告」では、クラウドファンディング終了後、生まれるまでのメイや胎児の様子や、無事生まれた後はゾウの赤ちゃんの成長について、もう少し詳しいニュースを2ヵ月に1回程度送らせていただく予定です。
引き続き、皆様からのご支援と情報拡散をよろしくお願いいたします。
リターン
5,000円+システム利用料

【寄附金控除対象】メイちゃんの出産お祝いコース
●メイちゃんへの出産祝い
いただいたご寄附の額に応じてゾウのメイちゃんに好物のおやつ(リンゴ・スイカ・さとうきび)をプレゼント&食べている様子を動画でご送付します。
※最終的に集まったご支援総額に応じて、おやつの種類及び数を決定します。
※おやつの給餌は、出産後に実施予定です。
※頂いたご支援をもとに、職員がメイちゃんにおやつをあげる内容となります。支援者によるおやつあげ体験等は実施致しませんので予めご了承下さいませ。
●赤ちゃんゾウの成長報告
赤ちゃんゾウの成長過程をメールマガジンでCF終了後から約1年間お届けします。
生まれるまでの経過や生まれた後の様子について配信予定です。
(不定期:2ヶ月に一回、6回以上発行予定)
※万が一、妊娠の中断や個体の死亡等により報告が続けられなくなった場合には、1年間を待たず配信が中止する場合がございます
※配信が中止となった場合でも返金はできませんのでご了承くださいませ
=上記に加え=
●お礼のメール
●寄附金受領証明書
※ 一度に複数口でのご寄附も可能です
- 申込数
- 700
- 在庫数
- 制限なし
- 発送完了予定月
- 2026年3月
5,000円+システム利用料

CF限定!【グッズで応援】ゾウのイラスト・写真入りポストカード
●CF限定!ゾウのポストカード
マルミミゾウ「メイ」と「ダイ」の愛らしい姿を収めたCF限定のポストカードです。
※画像は制作中のイメージです。実際の完成品とは異なる場合がございます。
●赤ちゃんゾウの成長報告
※詳細は「メイちゃんの出産お祝いコース」または「全力応援コース1万円」を参照ください
=上記に加え=
●お礼のメール
※ 一度に複数口でのご支援も可能です
- 申込数
- 145
- 在庫数
- 制限なし
- 発送完了予定月
- 2026年3月
5,000円+システム利用料

【寄附金控除対象】メイちゃんの出産お祝いコース
●メイちゃんへの出産祝い
いただいたご寄附の額に応じてゾウのメイちゃんに好物のおやつ(リンゴ・スイカ・さとうきび)をプレゼント&食べている様子を動画でご送付します。
※最終的に集まったご支援総額に応じて、おやつの種類及び数を決定します。
※おやつの給餌は、出産後に実施予定です。
※頂いたご支援をもとに、職員がメイちゃんにおやつをあげる内容となります。支援者によるおやつあげ体験等は実施致しませんので予めご了承下さいませ。
●赤ちゃんゾウの成長報告
赤ちゃんゾウの成長過程をメールマガジンでCF終了後から約1年間お届けします。
生まれるまでの経過や生まれた後の様子について配信予定です。
(不定期:2ヶ月に一回、6回以上発行予定)
※万が一、妊娠の中断や個体の死亡等により報告が続けられなくなった場合には、1年間を待たず配信が中止する場合がございます
※配信が中止となった場合でも返金はできませんのでご了承くださいませ
=上記に加え=
●お礼のメール
●寄附金受領証明書
※ 一度に複数口でのご寄附も可能です
- 申込数
- 700
- 在庫数
- 制限なし
- 発送完了予定月
- 2026年3月
5,000円+システム利用料

CF限定!【グッズで応援】ゾウのイラスト・写真入りポストカード
●CF限定!ゾウのポストカード
マルミミゾウ「メイ」と「ダイ」の愛らしい姿を収めたCF限定のポストカードです。
※画像は制作中のイメージです。実際の完成品とは異なる場合がございます。
●赤ちゃんゾウの成長報告
※詳細は「メイちゃんの出産お祝いコース」または「全力応援コース1万円」を参照ください
=上記に加え=
●お礼のメール
※ 一度に複数口でのご支援も可能です
- 申込数
- 145
- 在庫数
- 制限なし
- 発送完了予定月
- 2026年3月

ごかつら池どうぶつパーク|命を守り、次世代へ繋ぐ小さな動物園の挑戦
#観光
- 現在
- 5,770,000円
- 支援者
- 363人
- 残り
- 35日

アムールトラ「ショウヘイ」に、みんなでつくるおもちゃ箱をプレゼント
#観光
- 現在
- 4,527,000円
- 支援者
- 284人
- 残り
- 70日

JWCサポーター大募集中!傷付いた野生動物を救いたい
- 総計
- 253人

アルパカ・タックの膝の健康を守る!ときわ動物園の挑戦
- 現在
- 2,145,000円
- 支援者
- 160人
- 残り
- 21日

絶滅危惧種ツシマヤマネコを守るために!月々のご支援で安定的な整備を
- 総計
- 147人

救う命を選ばない。どんな犬猫も保護し続け福岡の里親さんを増やしたい
#動物
- 現在
- 3,194,000円
- 支援者
- 301人
- 残り
- 21時間

野生に帰れない猛禽類のために|猛禽類医学研究所マンスリーサポーター
- 総計
- 523人

個性を活かす就労支援を継続したい!
- 支援総額
- 1,150,000円
- 支援者
- 58人
- 終了日
- 5/24
吃音の子供を持つ家族のための、症状記録アプリを作ります!
- 支援総額
- 774,000円
- 支援者
- 107人
- 終了日
- 3/22

米原市番場の青瀧の滝を整備して地域資源として甦らせたい!
- 支援総額
- 504,000円
- 支援者
- 16人
- 終了日
- 9/5

世界初のVeganアップルパイ&キッシュ専門店が岩手・紫波に誕生!
- 支援総額
- 1,146,000円
- 支援者
- 100人
- 終了日
- 5/10
広島市に子ども専門の訪問看護ステーションを設立したい
- 支援総額
- 622,000円
- 支援者
- 38人
- 終了日
- 5/31
古都奈良より「地域の猫と共生できる社会実現のためのTNR活動」
- 支援総額
- 620,000円
- 支援者
- 51人
- 終了日
- 2/4
特性や対応を知ってもらい、発達障害のある子の良き理解者を増やしたい
- 支援総額
- 527,000円
- 支援者
- 85人
- 終了日
- 9/8









