
支援総額
622,000円
目標金額 600,000円
- 支援者
- 65人
- 募集終了日
- 2023年9月29日
https://readyfor.jp/projects/kaikai-help?sns_share_token=&utm_source=pj_share_url&utm_medium=social
2023年09月19日 21:28
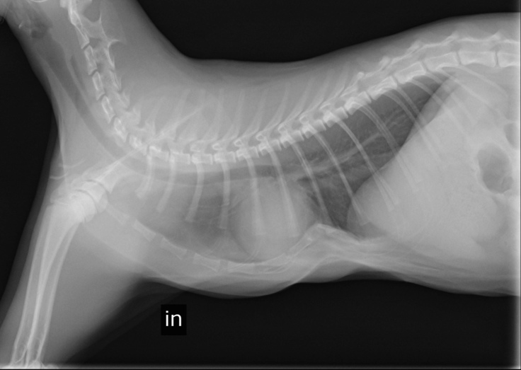
現状報告②検診結果をご報告します
ご覧頂きありがとうございます😊
本日術後の検診に行ってきました。
胸骨は正常な位置に留まっており、
経過は良好なようです。
とても心配していた為、問題無く成長している事を知り安心しております。
引き続き皆様の御支援どうぞ宜しくお願い致します。
今回の検診で撮影したレントゲン写真と診療明細書の写真を添付しておきます。
☟息を吸っている所です

☟息をはいている所です

☟今回の診療明細書の写真です

リターン
500円+システム利用料

感謝のメール(返礼品無)🐈⬛
・感謝のメール
・経過のご報告
感謝のメールと海の経過をご報告させて頂きます。誠に申し訳ございませんが、返礼品はございません。
皆様からご支援頂きました費用は全て治療費にあてさせて頂きます。
どうぞ宜しくお願い致します。
- 申込数
- 6
- 在庫数
- 制限なし
- 発送完了予定月
- 2023年10月
1,000円+システム利用料

感謝のメール🐈⬛🐈⬛
・感謝のメール
・経過のご報告
感謝のメールと海の経過をご報告させて頂きます。誠に申し訳ございませんが、返礼品はございません。
皆様からご支援頂きました費用は全て治療費にあてさせて頂きます。
どうぞ宜しくお願い致します。
- 申込数
- 19
- 在庫数
- 制限なし
- 発送完了予定月
- 2023年10月
500円+システム利用料

感謝のメール(返礼品無)🐈⬛
・感謝のメール
・経過のご報告
感謝のメールと海の経過をご報告させて頂きます。誠に申し訳ございませんが、返礼品はございません。
皆様からご支援頂きました費用は全て治療費にあてさせて頂きます。
どうぞ宜しくお願い致します。
- 申込数
- 6
- 在庫数
- 制限なし
- 発送完了予定月
- 2023年10月
1,000円+システム利用料

感謝のメール🐈⬛🐈⬛
・感謝のメール
・経過のご報告
感謝のメールと海の経過をご報告させて頂きます。誠に申し訳ございませんが、返礼品はございません。
皆様からご支援頂きました費用は全て治療費にあてさせて頂きます。
どうぞ宜しくお願い致します。
- 申込数
- 19
- 在庫数
- 制限なし
- 発送完了予定月
- 2023年10月
1 ~ 1/ 9
このページを見た人はこんなプロジェクトもチェックしています
風テラス
TAKAHIRO.OZEKI
渡邉果菜里(NPO法人せぴうるにゃん)
にゃんこのしっぽ(栗原 真弓)
NPO法人保護猫カフェlove.lab
kinakomozuku
東江 ルミ子(NPO法人にゃいるどはーと)

夜の世界で孤立・困窮している女性たちに、必要な支援を届けたい
継続寄付
- 総計
- 162人

地域の野良猫を守りたい!小さな命にTNRと医療を届けるプロジェクト
33%
- 現在
- 40,000円
- 支援者
- 15人
- 残り
- 2日

せぴうるにゃんこサポーター募集
継続寄付
- 総計
- 19人

にゃんこのしっぽサポーター募集★石垣島の捨てられた猫たちに治療を!
継続寄付
- 総計
- 124人

多くの猫を幸せにするためのご支援を〜(マンスリーらぶサポ)
継続寄付
- 総計
- 63人

【4歳10ヶ月悪性リンパ腫】愛猫きなこの抗がん剤治療のためのご支援
23%
- 現在
- 214,000円
- 支援者
- 54人
- 残り
- 33日

出会った命を守りたい!マンスリーサポーター募集中!
継続寄付
- 総計
- 160人
最近見たプロジェクト
プードルママ
山本永梨
明恵上人
登嶋健太(一般社団法人デジタルステッキ)
NPO法人(SRTI)相撲館山:太田雅巳・簔口明男
オソラーカーン
NEW

愛犬ココの心臓の手術代にご協力お願い致します。
#動物
0%
- 現在
- 0円
- 支援者
- 0人
- 残り
- 29日
NEW

お腹の空いた野良猫達のために、居場所をつくりたい
#まちづくり
14%
- 現在
- 140,000円
- 支援者
- 13人
- 残り
- 50日
成立

800年の時を超えて、明恵上人の心を未来へ。内﨑山遺跡が存続危機。
126%
- 支援総額
- 5,070,000円
- 支援者
- 176人
- 終了日
- 4/28
成立

【福祉×VR】臨場感あるバーチャルサファリ体験をみんなに届けたい!
104%
- 支援総額
- 1,561,000円
- 支援者
- 106人
- 終了日
- 1/7
成立

「相撲を続けたい」子どもたちの未来のために、土俵の屋根設置を!
102%
- 支援総額
- 3,066,000円
- 支援者
- 101人
- 終了日
- 11/30
広島県安芸太田町、祇園坊柿や特産品で作るオリジナル発泡酒工場
- 支援総額
- 382,000円
- 支援者
- 30人
- 終了日
- 1/17










