
支援総額
目標金額 430,000円
- 支援者
- 113人
- 募集終了日
- 2022年9月17日

にゃんこのしっぽサポーター募集★石垣島の捨てられた猫たちに治療を!
#動物
- 総計
- 124人

11年目のNPO法人高齢猫が増え、活動資金のご支援をお願いしたい
#まちづくり
- 総計
- 51人

置き去りにされた猫に手術を行いたい
#地域文化
- 現在
- 366,000円
- 支援者
- 63人
- 残り
- 1日

42匹の保護猫達を助けて下さい‼️
#動物
- 現在
- 705,000円
- 支援者
- 103人
- 残り
- 1日

シンデレラサポーター募集「飼い主のいない猫」から「幸せな飼い猫」へ
#動物
- 総計
- 62人

サポーター募集中/保護猫カフェ閉店で残った猫の飼育への援助を!
#動物
- 総計
- 89人

ゆきねこサポーター募集中|保護猫シェルター幸せの家へご支援を
#環境保護
- 総計
- 111人
プロジェクト本文
終了報告を読む
▼自己紹介
数多くのプロジェクトの中から閲覧していただき、本当にありがとうございます。
西口 幸佐(こうすけ)と申します。
今回初めてプロジェクトを立ち上げさせていただきました。不手際もあるかと思いますが、可能であればご支援いただきたくお願い申し上げます。
妻、高1の長女、中1の次女、2歳のオスの保護猫「むう」と暮らしています。
普段から積極的に保護活動をしているわけではなく、ご縁があった野良犬、野良猫を中学生の頃から保護して飼ってきました。思い出して数えてみたところ通算で犬3匹、猫9匹、インコ1羽でした。
10年ほどペットと無縁の生活でしたが、2年前に街路樹の下で「むう」を保護し、現在は家族の一員として一緒に生活しております。
妻と子供達はペットを飼うのが初めてで「むう」を溺愛しています。この度保護した子猫の命も「むう」と同様に助けてあげたいと思っています。
▼プロジェクトを立ち上げたきっかけ
以前から近所に住み着いている野良猫が最近2匹の子猫を連れているのを見かけていました。
6月19日(日)の朝、家の裏で鳴き声がしたので覗いてみると母猫と子猫が1匹だけ。しばらくして裏の家の敷地からもう1匹子猫が、、、。何か動きがおかしい?と思ったら片足を引きずってしまってまともに歩けない様子。
今は母猫と居るからいいけれど、子離れされてしまうと生きていけないだろうと思い、家族と相談して保護しました。
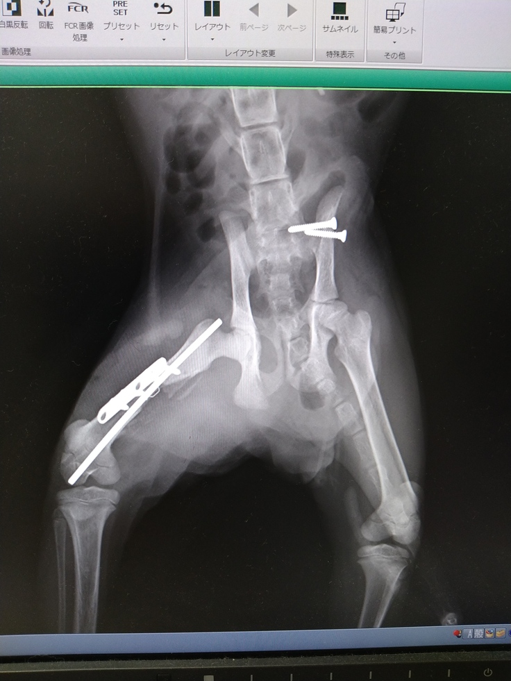
いつもお世話になっている動物病院に連れていき、診察していただいた結果は「骨盤と大腿骨の骨折」。
性別はオスで、生後4ヶ月ぐらいだそうです。
手術するとどれくらいになるか聞いたところ「だいたい30万くらいはかかります」との事でした。
ここまで高額になるとは思っておらず、すぐに「手術してください」とは返答できませんでした。担当の先生には「処置せずに母猫のもとに戻しても生きていけないでしょう」とも言われました。足が壊死していったり、エサが取れず餓死するのが簡単に想像できました。
妻に連絡して、娘たちも子猫を見てしまってるので何とかしてあげたいと頼みこんだところ、しぶしぶですが手術していいよと言ってくれました。
子猫はそのまま入院となり、帰宅後、同様の症例の回復状況や後遺障害などを調べていたところ、クラウドファンディング READY FOR様の存在を知り、プロジェクトを立ち上げさせていただく運びとなりました。
自分勝手に保護した子猫ですが、皆様からの暖かいご支援をいただきたくお願い申し上げます。
▼プロジェクトの内容
支援していただいたお金は保護した子猫の手術費用、治療費、去勢手術費用に充てさせていただきます。
6月19日(日)保護当日 ~ 6月26日(日)退院までの明細です。
前金分と合わせて343,150円でした。
(動物病院から資料掲載許可を得ております。)
7月初旬に抜糸とワクチン接種の予定(予定額)
3種混合 5500円
骨折の治療が終わった後、去勢手術(予定額)
25300円
以上合計予定金額が373,950円
目標金額43万円達成時、手数料と税がひかれ373,240円がいただける金額になります。
先住猫が居るので現在は特大の段ボールにて隔離しております。
風通しが悪いので、できればちゃんとしたゲージを用意してあげたいのですが、これ以上の出費は妻には頼めない状況です。
目標金額以上にご支援いただけた場合はゲージ購入などに充てさせていただきたいと思います。
▼プロジェクトの展望・ビジョン
現在は骨折の手術を終え、順調に回復しています。
名前も「さむ」に決まりました。
お世話をしていて、たまに威嚇はしますが、噛んだり引っ掻いたりしないかしこい子です。
後遺障害も残らず元気に回復してくれる事と先住猫「むう」と仲良くなってくれる事を願っております。
猫好き、動物好きの支援者様も御一緒に見守っていただけたらと思います。
○最後に
なにぶん初めてのプロジェクト立ち上げになりますので、構成がおかしかったり、文章内容が伝わりにくい点があるかもしれませんがお許しください。
SNSはTwitterを少しやってる程度で、プロジェクトの拡散に不安があります。
ご支援の有無に関わらず、【プロジェクト記事の拡散、共有】をしていただけるととても助かります。
どうかプロジェクト達成にむけて、ご協力をよろしくお願い申し上げます。
Twitterはコチラ↓
https://twitter.com/CoursekSachiyo?t=HBI6gpHvLYDM_yW_b0GsFA&s=09
▶︎ ペット保険による補償の有無:「無」
▶︎ 万が一、「さむ」が亡くなってしまった場合の資金使途:
現在は術後の回復も順調で、体調面でも特に問題はなさそうです。万が一治療期間中に亡くなってしまった場合は、これまでの治療費に充てさせていただきます。
プロジェクト実施完了までの間に、治療方針や治療の要否に変化が生じた場合、支援者の皆様、READYFOR事務局様に速やかにお伝えさせていただきます。
▶︎ 本クラウドファンディングに関するお問い合わせは以下にご連絡ください。
西口 幸佐(ニシグチ コウスケ)
e-mail coursek325.sachiyo621@docomo.ne.jp
READYFOR事務局:ペットの治療費用を集めるクラウドファンディングに関しては、以下のガイドラインもご確認ください。
ペットの治療費用を集めるクラウドファンディングに関する当社の考え
https://legal.readyfor.jp/guidelines/launching_project/pet_care/
- プロジェクト実行責任者:
- 西口 幸佐
- プロジェクト実施完了日:
- 2022年12月31日
プロジェクト概要と集めた資金の使途
保護猫の手術・抜糸などの治療、体力回復後のワクチン接種・去勢手術
あなたのシェアでプロジェクトをさらに応援しよう!
プロフィール
45歳男 妻、長女、次女、保護猫むう♂、さむ♂と兵庫県在住 種類を問わず動物が好きです(=゚ω゚)ノ
あなたのシェアでプロジェクトをさらに応援しよう!
リターン
500円+システム利用料

保護猫さむ君支援(1)
○ 保護猫の現状をご報告させていただきます。
○ お礼のメールをお送りさせていただきます。
- 申込数
- 17
- 在庫数
- 制限なし
- 発送完了予定月
- 2022年10月
1,000円+システム利用料

保護猫さむ君支援(2)
○ 保護猫の現状をご報告させていただきます。
○ お礼のメールをお送りさせていただきます。
- 申込数
- 53
- 在庫数
- 制限なし
- 発送完了予定月
- 2022年10月
500円+システム利用料

保護猫さむ君支援(1)
○ 保護猫の現状をご報告させていただきます。
○ お礼のメールをお送りさせていただきます。
- 申込数
- 17
- 在庫数
- 制限なし
- 発送完了予定月
- 2022年10月
1,000円+システム利用料

保護猫さむ君支援(2)
○ 保護猫の現状をご報告させていただきます。
○ お礼のメールをお送りさせていただきます。
- 申込数
- 53
- 在庫数
- 制限なし
- 発送完了予定月
- 2022年10月
プロフィール
45歳男 妻、長女、次女、保護猫むう♂、さむ♂と兵庫県在住 種類を問わず動物が好きです(=゚ω゚)ノ










