
支援総額
目標金額 480,000円
- 支援者
- 112人
- 募集終了日
- 2024年12月21日

救う命を選ばない。どんな犬猫も保護し続け福岡の里親さんを増やしたい
#動物
- 現在
- 2,952,000円
- 支援者
- 277人
- 残り
- 2日

置き去りにされた猫に手術を行いたい
#地域文化
- 現在
- 346,000円
- 支援者
- 58人
- 残り
- 4日

老病ねこたちが最後まで安心して過ごせるおうちを守っていきたい!
#医療・福祉
- 現在
- 1,893,000円
- 支援者
- 143人
- 残り
- 9日

行き場のない猫たちに幸せな明日を届けたい。保護猫たちの医療費支援を
#動物
- 現在
- 1,715,000円
- 支援者
- 132人
- 残り
- 30日

42匹の保護猫達を助けて下さい‼️
#動物
- 現在
- 670,000円
- 支援者
- 96人
- 残り
- 4日

絶滅の危機に瀕しているシマアオジ 彼らのいる景色を取り戻したい
#国際協力
- 現在
- 4,152,900円
- 寄付者
- 340人
- 残り
- 1日

にゃんこのしっぽサポーター募集★石垣島の捨てられた猫たちに治療を!
#動物
- 総計
- 124人
プロジェクト本文
終了報告を読む
▼自己紹介
はじめましてm(_ _)m
数あるプロジェクトの中からこのページをご覧いただきありがとうございます!
怪我をした野良猫を保護した中村と言います。
===================================
1.皆様のご支援、応援のおかげ様で目標金額を達成いたしましたm(_ _)m
大変感謝しております!
また改めてお礼メールをさせていただきますm(_ _)m
2.ネクストゴールの目標金額:73万
3.その資金使途
ネクストゴールではまだ出会っていない子猫たちの保護、TNR費用に充てたいと思っております。(この地域にはTNRしていない子で溢れております)
メス猫TNR(1匹25000円)×10匹
※ネクストゴールの目標金額内にシャムミックス母親と新たに近場に現れた成猫の去勢、避妊手術代を入れています。
4.仮にネクストゴールの金額を達成できなかった場合も、自己資金を元に保護活動は実施させていただく予定ですが、皆様からの多くのご支援いただけますと幸いです。
===================================
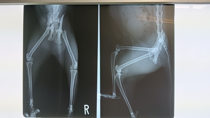
山口県で骨盤骨折をした三毛の野良猫を保護しました(おそらく車に轢かれたのだろうとレントゲン画像を見ながら説明を受けました)
骨折し重体にもかかわらず子猫に近づこうとする姿に見捨てるという選択はできず5匹を保護しました。
子猫や他病院でかかった費用は賄えますが今後の骨盤骨折や入院費が高額なため、クラウドファンディングを活用しご支援を頂戴したく、このプロジェクトを立ち上げることとなりました。
▼プロジェクトを立ち上げたきっかけ
里親探しと地域猫として保護を検討していた矢先でした。
団体さんと連絡をした2日後から親猫の姿が見えなくなり子猫だけでも保護しようと最後にあたりを探してみたところ
うずくまっている母猫を見つけました。
離れて様子を見ているとおそらくもう歩けない状態なのにもかかわらず子猫たちのもとへ必死に向かおうとしていました。
動物の医療が高額なのは知っていたので躊躇してしまいましたが、見捨てることができず病院へ向かいました。
手術費用は30万円程かかると言われました。その後の入院通院など含めもっと高額になるであろうことの説明を受けました。
そして地域猫として生きていくことも難しいと...
自然治癒を選択する方も過去にはいたそうですが辛い野良生活になるそうです。
辛い野良生活を送らせるわけにはいかない、でも手術費を賄えるのか。。。
そんな思いからこのプロジェクトを立ち上げることとなりました。
▼プロジェクトの内容
骨盤骨折の手術費用と入院費用、そして通院費費用の援助をお願いしたいと思っております。
レントゲンを撮ってもらった病院では骨盤骨折の手術をする設備が整っていないため、手術は別病院を紹介していただきました
10/7:保護日。歩き方もおかしかったので捕獲後すぐに病院に連れていきました。
レントゲンを撮ってもらったところ、骨盤骨折と診断されました。
その病院では整形をやめてしまったそうなので別病院を紹介していただきました。
10/8:紹介先に行き診察。鎮静剤、ワクチンをして手術日を決めました。
手術枠が埋まっているということで10/10(木)の予約になりました。
血液検査、再度レントゲンを撮りました
※血液検査書は実家の名前になっています
10/10:9時に行き順番を待ち10時頃に預けました。この日は午前診で終了のため手術の結果は電話でもらうことになりました
16時頃連絡があり手術は成功しました。
小柄な成猫なこと、神経が骨折で圧迫されていたことがあり再手術になるかもしれないこと、1週間入院をして10/17日の
レントゲンで判断するとのこと。
10/15 面会と説明を受けに行きました。
手術は無事成功して10/18の退院日まで再手術はないとのこと(17日退院でしたが時間外のため翌日に変更)
今後の治療としては2,3か月後まで週一で通院
その都度必要ならばレントゲン(暴れてしまうと毎度鎮静剤)
釘のようなボルトは今後取るかもしれない。(動いて皮膚を刺激してしまう場合)プレートはそのまま。
また保護した三毛母猫の近くの野良のシャムミックス親子がおりました。
三毛猫の骨盤骨折が完治し、4匹の子猫が里親の元へ行く頃、この子たちも避妊、去勢をして地域猫、里親を探してあげたいと思います。
完治した頃にまた子猫が増えてしまうかもしれませんが...不幸な猫がいなくなることを願います。
応援よろしくお願いいたしますm(_ _)m
▼プロジェクトの展望・ビジョン
最後まで読んでいただいて感謝いたしますm(_ _)m
子猫と共に生きようとしている姿を見て何としてでも助けたいと思い、行き着いたのがこのクラウドファンディングでした。
私の力不足のため不甲斐ない思いですが、ご支援頂ける方がいらっしゃいましたらお力を貸していただきたいです。
治療後は自宅で責任を持ってお世話いたします。
子猫たちは里親を探し幸せになれるお家を見つけてあげたいと思います。
母猫と子猫が安心して幸せに暮らしていけるよう、精一杯サポートいたします。
募金をする以外、保護活動、クラウドファンディングはしたことがありません。
初めてのプロジェクトなのでご不便をおかけしますがご協力いただければ幸いです。
どうぞよろしくお願いいたします。
<プロジェクトについて>
(1)資金の使途
三毛猫の骨盤骨折の過去の手術・治療費(10/10に手術、10/18に退院。費用支払い済みです)と
退院後の通院費(202410/18~2025/1/31予定。目安1週間ごと、レントゲン等約8000円)にあてさせていただきます。
(2)目標金額と資金の内訳
目標金額:48万円
(資金の内訳)
今までの治療費:286,275円(動物病院)
今後の治療費:約130,000円(動物病院)※通院、レントゲン等、約8000円
手数料 67,200円
税 6,720
===========================
合計 490,195
======================
(3)集める資金を使用しての治療期間
2024年10月10日〜2025年1月31日
※治療内容や治療費、治療期間は動物病院の確認が取れています。
<ご支援にあたっての注意事項>
▶︎ 1. ペット保険について
①ペット保険による補償の有無:無
②補填対象の治療名と金額:無
▶︎ 2. 万が一の場合の代替の資金使途について
万が一、三毛猫が亡くなってしまった場合、いただいた支援金については、返金はせずこれまでの治療費に当てさせていただきます。
▶︎ 3. 問い合わせ先について
本クラウドファンディングに関するお問合せは以下までご連絡ください。
連絡先:09057050273
▶︎ 4. 掲載している資料について
ページ上に掲載している診断書や診療明細書などの資料は全て動物病院から掲載の許諾を得ております。
▶︎ 5. 治療方針などが変更になった場合について
プロジェクト実施完了までの間に、治療方針や治療の要否に変更が生じた場合、支援者の皆様、READYFOR事務局に速やかにお伝えします。
▶︎ 6. READYFOR事務局からのご連絡
ペットの治療費用を集めるクラウドファンディングに関しては、以下のガイドラインもご確認ください。
【ペットの治療費用を集めるクラウドファンディングに関する当社の考え】
https://legal.readyfor.jp/guidelines/launching_project/pet_care/
- プロジェクト実行責任者:
- 中村香南
- プロジェクト実施完了日:
- 2025年1月31日
プロジェクト概要と集めた資金の使途
骨盤骨折をした三毛の野良猫とその子猫4匹を保護しています。 母親である三毛猫の手術費用、その後入院や介護、子猫のワクチンなどに使います。 助けたい一心で保護したものの今後首がまわらなくなるかもしれないと支援を頂戴したくこのクラウドファンディングのプロジェクトを立ち上げました。 すでに286,275円は完了しており自己資金などで支払いました 支援金は既に支払った費用に補填させていただきます。 【資金の用途】 三毛猫の骨盤骨折の過去の手術・治療費(10/10に手術、10/18に退院。費用支払い済みです)と 退院後の通院費(202410/18~2025/1/31予定。目安1週間ごと、レントゲン等約8000円)にあてさせていただきます。 不慣れなためご不便をおかけしますがどうぞよろしくお願いいたします。
あなたのシェアでプロジェクトをさらに応援しよう!
プロフィール
ご覧いただきありがとうございます。 保護猫1匹と暮らす木の原と申します。 骨盤骨折をした三毛猫とその子の産んだ子猫4匹を保護しています。 歩けないにもかかわらず子猫にお乳をあげようと一生懸命近づく姿に助けずにはいられませんでした。 高額とは聞いていましたが日々加算されていく医療費に戦々恐々としております。 お恥ずかしながら私の資金だけではどうにもできず、支援をいただきたくプロジェクトを立ち上げました。どうかよろしくお願いいたしますm(_ _)m
あなたのシェアでプロジェクトをさらに応援しよう!
リターン
500円+システム利用料

よろしくお願いします
感謝のメールを送ります
4匹の子猫は里親探しをしております
- 申込数
- 26
- 在庫数
- 制限なし
- 発送完了予定月
- 2025年2月
1,000円+システム利用料

リターン不要の方はこちらから
リターン不要の方はこちらからお願いします。
大変感謝しております!
4匹の子猫は里親探しをしております
- 申込数
- 86
- 在庫数
- 制限なし
- 発送完了予定月
- 2025年2月
500円+システム利用料

よろしくお願いします
感謝のメールを送ります
4匹の子猫は里親探しをしております
- 申込数
- 26
- 在庫数
- 制限なし
- 発送完了予定月
- 2025年2月
1,000円+システム利用料

リターン不要の方はこちらから
リターン不要の方はこちらからお願いします。
大変感謝しております!
4匹の子猫は里親探しをしております
- 申込数
- 86
- 在庫数
- 制限なし
- 発送完了予定月
- 2025年2月
プロフィール
ご覧いただきありがとうございます。 保護猫1匹と暮らす木の原と申します。 骨盤骨折をした三毛猫とその子の産んだ子猫4匹を保護しています。 歩けないにもかかわらず子猫にお乳をあげようと一生懸命近づく姿に助けずにはいられませんでした。 高額とは聞いていましたが日々加算されていく医療費に戦々恐々としております。 お恥ずかしながら私の資金だけではどうにもできず、支援をいただきたくプロジェクトを立ち上げました。どうかよろしくお願いいたしますm(_ _)m











