この度はありがとうございましたm(_ _)m
活動報告に終了報告として載せてしまいましたので同じ部分もあるかと思いますが再度お礼を書かせていただきますm(_ _)m
========================================
本日までたくさんのご支援、応援をありがとうございましたm(_ _)m
皆様の温かいお気持ちと共にこれからも積極的にTNRや里親探しをしていきますm(_ _)m
========================================
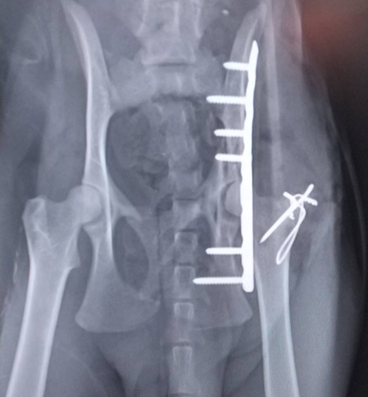
三毛猫ちゃんのレントゲンです

↑手術直後

↑現在
完治告知をいただきました😣✨

完治後の行先として、そのまま実家に迎え入れることとしました(^^)
猫部屋を主なくつろぎスペースにしてもらい保護やTNR療養中で不安な猫ちゃんたちの心のケアをしてもらえたらと思います☺️

↑骨盤骨折した三毛猫の子猫4匹、その後保護したシャムミックスの子猫1匹。
5匹とも温かい素敵なお家が見つかりました(^^)
お力添えいただき大変感謝しておりますm(_ _)m
寒くなりましたので体調を崩されぬようお気を付けくださいm(_ _)m
【収支報告】
終了金額609000円
治療費:286,275円 レントゲン、検査代:115,790円ミルク餌等:約20,000円 手数料:85,260円 税:8,526円 合計515,851円
【リターンの発送状況】
本日よりリターン発送をいたします。
子供が小さいため、冬休みや今後のイベントなどで発送ができない日も出てしまうかと思います。期日前には必ず発送いたしますのでお待ちいただけると幸いですm(_ _)m
発送期限日2025/2/28
【支援残金93,149円】
ネクストゴールで掲げたTNR10匹の費用に充てさせていただきますm(_ _)m

↑
年内予約は叶わなかったのですが、2025/1/6にシャムミックス(里親様の見つかったシャムミックス子猫のお母さん)の避妊手術の予約をしていますm(_ _)m
誠に感謝申し上げます !!






















