終了報告
ご無沙汰しております。
(一社)ティアハイム十勝です。
北海道は雪解けが進み今月末には桜が咲く季節となりました。
昨年はじめてクラウドファンディングに挑戦し、皆さまからのあたたかいご支援のおかげで目標金額を達成することが出来ましたことに、改めて心より御礼申し上げます。
今回のクラウドファンディングの最終報告をさせていただきます。
●猫のTNR
2025年3月31日 162頭終了
去勢避妊手術代金:3,078,900円(5ヶ所の協力病院において)
費用内訳:オス去勢手術 11000円~18700円
メス避妊手術 16500円~29700円
※各病院により料金が異なります。
その他医療費:583,000円(避妊去勢に関わる血液検査、薬代、妊娠割増料金、再診料)
合計金額:3,661,900円
●医療協力(セカンドゴール)
2025年3月31日 42頭の犬猫の治療費(入院、手術、治療、薬代など)に使わせていただきました。
合計金額:3,842,430円
今年度は保健所に収容された負傷動物が多く莫大な医療費がかかりましたが、皆さまのご支援のお陰でたくさんの命を繋ぐことが出来ました。
本当にありがとうございました。
3月にTNRした地域の猫
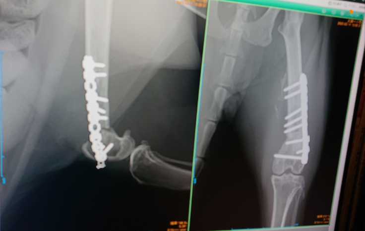
事故による大腿骨骨折のじん♂


治療中の小太郎♂

今後もティアハイム十勝は、猫のTNR活動と医療協力を地元の行政機関や獣医師会と連携しながら継続的に取り組んでまいりたいと思っています。
これからも私たちの活動を応援していただけると幸いです。
この度はありがとうございました。
一般社団法人 ティアハイム十勝 代表理事 平賀寿子



















