
支援総額
目標金額 2,500,000円
- 支援者
- 169人
- 募集終了日
- 2025年6月30日

命の危機が迫っています!僧帽弁閉鎖不全症・三尖弁閉鎖不全症
#医療・福祉
- 現在
- 731,000円
- 支援者
- 61人
- 残り
- 19日

13年ケージに入れられていたチワワに手術を受けさせたい
#動物
- 現在
- 176,000円
- 支援者
- 22人
- 残り
- 16日

救う命を選ばない。どんな犬猫も保護し続け福岡の里親さんを増やしたい
#動物
- 現在
- 2,732,000円
- 支援者
- 250人
- 残り
- 2日

猫伝染性腹膜炎を患ったポンちゃんの明日をつないで頂けないでしょうか
#動物
- 現在
- 151,000円
- 支援者
- 41人
- 残り
- 2日

ジジを助けたいです。元野良猫ジジのFIP治療費のお願い。
#動物
- 現在
- 460,000円
- 支援者
- 81人
- 残り
- 5日

【進行性脊髄軟化症】2度大手術をしたイブラへ、治療費ご支援のお願い
#医療・福祉
- 現在
- 221,000円
- 支援者
- 33人
- 残り
- 15日

愛犬の心臓の手術が決まりました!少しだけ手助けしてもらえませんか?
#動物
- 現在
- 37,000円
- 支援者
- 9人
- 残り
- 30日
プロジェクト本文
▶代理支援(PayPay、銀行振込)も承っております◀
ラフの様子などInstagramにて毎日更新中!
▼自己紹介
はじめまして。みなみと申します。
この度は閲覧いただき誠にありがとうございます。
わたしは北海道で愛犬ラフとふたり暮らしをしています。
ラフは2020年5月23日生まれのトイプードル♂で、少しマイペースな甘えん坊です。
初めて出会ったのはラフが生後7か月のころ。
他の子より少しだけ大きかったのですが、
ずーっと私の事を待っていてくれたようです。
ラフとのふたり暮らしのために
ペット可のお部屋にお引越しをしたり、
長くお留守番させないため在宅の仕事に転職したり、
私の生活は一気にラフを中心に回り出しました。
私にとってラフはかけがえのない家族です。
まだ5歳の小さないのち。
この子は現在、心臓の病気と闘っています。
このままだとこの子の命は残りわずかなのです。
ラフの命をあきらめきれない私。
でも完治のためには高額の手術費が必要で…
わたしひとりではお薬での延命治療が限界で、
今回、このクラウドファンディングに
挑戦しています。
どうか、最後まで読んでいただけましたら幸いです。
▼プロジェクトを立ち上げたきっかけ
ラフが1歳7か月のときに
ワクチン接種で病院を受診した際、
「心雑音がする」と言われました。
その後、大きな病院で検査してもらうと
「僧帽弁閉鎖不全症」と診断されました。
僧帽弁閉鎖不全症は、
心臓の中の弁(僧帽弁)が
正常に働かなくなってしまい
心臓内で血液が逆流してしまう病気です。
しかし、この病気はシニア期のわんちゃんが
加齢に伴い発症することが多く、
この年齢で発症することは稀との事でした。
その時のお医者さんにも前例がないと言われ、
原因としては先天性の僧帽弁異形成
または僧帽弁粘液腫様変性に伴うものではないか、とお話をされました。
どうしてうちの子が…と涙が溢れましたが、
先生からは
「他の子よりたまたま早く始まってしまったのかも。運が悪かったと思うしかない」と…。
その他の症状として何か起きていることはなく、
また、外科手術するにも
年齢が若く身体が小さいリスクの方が大きいとのことで
手術を勧められることはなく、
その後はかかりつけでの
定期検査による経過観察となりました。
最後の検査が2024年11月。
その時もお薬の開始は無しで、経過観察となりました。
先生とも「このまま普通の子みたいに過ごせたら良いですね~」
なんてお話をしていたのですが…
2025年4月16日、ラフが4歳10ヶ月の時。
ラフが夜中にせき込んだ後呼吸不全に。
夜間病院に連れて行くとそのまま緊急入院。
ラフの心臓は肥大化しており、
重度の僧帽弁逆流による肺水腫と診断されました。
急な出来事で頭が真っ暗になりました。
肺水腫というのはとても恐ろしい病気。
心臓の中で逆流、滞留していた血液が
肺にまで逆流し、肺の中にしみ出してしまっていたのです。
陸の上で溺れているような、命の危険に関わる状態でした。
先生方の治療でなんとか一命をとりとめるも、
肺水腫に一度かかってしまうと、
もう薬での完治も見込めず、
命のカウントダウンが始まってしまいます。
お医者さんからも
「もう1年も持たないだろう」
とのお言葉がありました。
結局、ラフのこんなに早い闘病生活の原因は、
僧帽弁自体に先天的に些細な傷があり、
そのダメージが徐々に広がっていったことで
発症したのでは、というお話を受け、
「僧帽弁異形成疑い」と診断されました。
現在は延命のために、
強心剤と利尿剤の投薬治療で命をつないでいます。
しかし、この薬も
他の臓器へダメージを与えてしまうもの。
利尿剤の副作用によって
腎臓への負担が増し、食欲もまばらになってしまいました。
5月中旬には一度、
お薬を増量したタイミングで
腎臓の数値が跳ね上がってしまい
ごはんも水も口にしない、
胃液のようなものをずっと吐き続けて
ぐったりする状態になってしまった時がありました。
増量したお薬をストップし
連日通院するも腎臓の数値は上がる一方で
命が危ない状態となり入院治療。
この時には、体内の老廃物を排出するための
腎臓が機能していない、「急性腎不全」の状態でした。
幸い無事退院することが出来ましたが、
先生曰く、もう以前の健康な腎臓の状態まで
戻すことはできないだろうと…。
現在も薬の量を調整しながら通院を続けており、
どこかに不調をきたす度に病院で検査・薬の再調整を行っております。
心臓だけでなく他の臓器にもダメージが広がり始めているのが現状です。
このように、今の治療法では
延命が精一杯であり、完治には至りません。
投薬にはこうした多臓器への影響も含まれており、
本当に時間が限られている状況です。
正直なところ、現在の経済状況では
ラフには内服治療しか選択できないのが現実です。
情けないことに昨年、私自身にも病気が見つかり、
今年3月に入院、手術を受け、現在も通院中の身なのです。
自分の治療で貯金を使ってしまったタイミングで、
その翌月にラフまでこんなことになってしまって…。
ずっとラフとふたりで暮らしてきて、
他に頼るところもなく、これからどうしたら良いのか
絶望の淵に立たされておりました。
そんな中、とある通院日に先生からのお話で
クラウドファンディングという存在を知りました。
自分の手の届く範囲内で、お別れの時まで
できる限りの治療をするべきではないかと、
何度も悩みました。
しかし、たとえどんな批判の声があっても
クラウドファンディングに挑戦することで
ラフに「外科手術」という希望が
残されていると知ってしまった以上、
その可能性にかけずにはいられませんでした。
迷いや葛藤はありましたが、
申請の手を止める理由は、もうどこにもありませんでした。
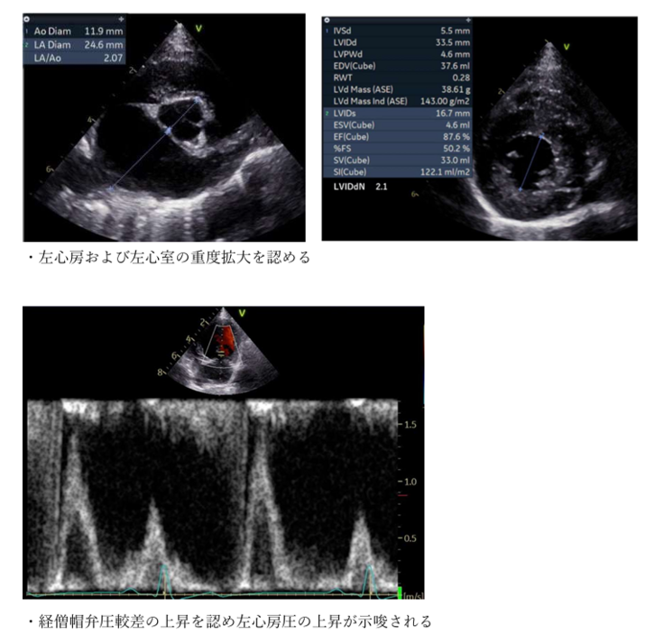
※エコー画像・診断データ・通院記録は信頼性のためページ下資料欄に掲載しております。
▼プロジェクトの内容
ラフの命を救うには、
心臓の「僧帽弁」を修復する外科手術が唯一の治療法です。
今回ラフの手術は関西の専門チームが北海道まで派遣されて行う予定です。
僧帽弁の修復が成功すれば、
心臓内の血液逆流を止めることができ、
肥大していた心臓も次第に小さくなり、
肺水腫のリスクからも解放され、
通常の子と同じくらい生きられることが期待できる…
つまり完治が見込めるとのことで、
ラフが元気に過ごせる未来に繋がる可能性があります。
ただしこの治療は、全額前払いの自費負担となります。
ペット保険には加入していましたが、
心疾患対象外の条件付き加入のため補償は受けられません。
心臓病に関するこれまでの
通院・検査・入院・投薬もすべて
自己負担でまかなってきましたが、もはや限界です。
本来でしたら手術費用の一部を募り、
残りは自分で用意するべきなのかもしれません。
しかし貯蓄も尽き、
大学の奨学金数百万円の返済も
滞納させないようやりくりしている中、
これ以上の大金の借り入れは出来ないと判断いたしました。
さらに、このプロジェクトが達成された場合、
目標額のうち手数料税抜14%+税10%は
運営会社さまへのお支払いとなるため、
目標額全額を受け取ることができません。
つきまして、大変恐れ多いのですが
今回外科治療にかかる250万円全額を
目標額として設定させていただきました。
(治療額について担当の先生に確認済み)
手術決行にあたり、手術費用の全額前払いの必要があるため、
先生には、プロジェクト達成できれば7月1日に申し込み連絡をするので
可能な限りはやく手術を受けられるようお話を進めていきたい、と伝えております。
<プロジェクトについて>
(1)資金の使途
ラフの僧帽弁異形成の外科手術に係る今後の治療費にあてます。
(2)目標金額と資金の内訳
【目標金額:250万円】
(資金の内訳)
・外科治療費:250万円(術後検査費を含む)
・クラウドファンディング手数料
(税別)14% -350,000円
・税 10% -35,000円
振込金額:2,115,000円(不足分は自己負担いたします)
(3)集める資金を使用しての治療期間
2025年7月1日〜2026年6月30日
※治療内容や治療費、治療期間は動物病院の確認が取れています。
皆さまからの温かいご支援は、
すべてラフの命をつなぐ医療費に充てさせていただきます。
どうか、ご理解とご協力のほどよろしくお願いいたします。
このプロジェクトは目標額に達しなかった場合、
READYFORの支援額は1円も受け取れず、
支援者さまへ返金される仕組みとなっております。
達成できなければ、ラフの命を助けてあげることはできません。
こんな情けない飼い主で申し訳ないのですが、
どうかラフのために、皆さまのお力をお貸しいただけないでしょうか?
プロジェクトに挑戦する以上、
必ず目標達成させ、ラフの笑顔を取り戻したいです。
5歳のこの小さな命を諦めたくありません。
どうか皆さまのあたたかなご支援・ご協力をお願い申し上げます。
【資料欄】(個人情報保護のため、一部モザイク処理させていただいております)
・病院から頂いた所見データ(2025.4.16)
・手術説明で頂いた資料より。
手術チームは関西からの派遣となるため航空・宿泊費によって金額に変動があるそうですが、このご時世、200万円で済むことはまず無いだろうとのお話でした。
・肺水腫発症から約1か月の検査治療費(心疾患にかかる治療は全額自己負担です)
カードの分割払いでなんとか通院している状態です。
・投薬治療の影響で腎数値が著しく悪化した様子。
CRE(クレアチニン)の数値が基準値を超えて「3」になると危ない状態と言われておりましたが、
入院時ラフは「9.3」…命に関わる状態でした。
5/21-23入院治療となりました。
追加資料あれば随時追加いたします。
<ご支援にあたっての注意事項>
▶ ペット保険について
ペット保険による補償の有無:無
心疾患に係る治療については支払い対象外の条件付き加入です。
▶ 万が一の場合の代替の資金使途について
万が一、ラフが亡くなってしまった場合、いただいた支援金については、返金はせずこれまでの治療費に当てさせていただきます。
▶ 問い合わせ先について
本クラウドファンディングに関するお問い合せは以下までご連絡ください。
連絡先:waratte.rafuchan@gmail.com
▶ 掲載している資料について
ページ上に掲載している診断書や診療明細書などの資料は、病院名を伏せることを条件に、動物病院から掲載の許諾を得ております。
▶ 治療方針などが変更になった場合について
プロジェクト実施完了までの間に、治療方針や治療の要否に変更が生じた場合、支援者の皆様、READYFOR事務局に速やかにお伝えします。
▶ READYFOR事務局からのご連絡ペットの治療費用を集めるクラウドファンディングに関しては、以下のガイドラインもご確認ください。
【ペットの治療費用を集めるクラウドファンディングに関する当社の考え】
https://legal.readyfor.jp/guidelines/launching_project/pet_care/
- プロジェクト実行責任者:
- 伊藤 みなみ
- プロジェクト実施完了日:
- 2026年6月30日
プロジェクト概要と集めた資金の使途
愛犬ラフの僧帽弁異形成の外科治療のために、ご支援いただいた資金を使わせて頂きます。
リスク&チャレンジ
- プロジェクトに必要な金額と目標金額の差額について
- 必要金額と目標金額の差額は自己資金で補填いたします
あなたのシェアでプロジェクトをさらに応援しよう!
プロフィール
ラフ|5歳トイプードル♂ 心臓病を抱えた我が子の手術完治を目指しています 小さな命を救うため、クラファン挑戦中 ご支援・シェアお願いいたします。
あなたのシェアでプロジェクトをさらに応援しよう!
リターン
1,000円+システム利用料

感謝のメッセージ1(写真付き)
無事手術が完了しましたら、元気になったラフの写真と一緒に感謝のメールをお送りさせて頂きます!
- 申込数
- 37
- 在庫数
- 制限なし
- 発送完了予定月
- 2025年9月
3,000円+システム利用料

感謝のメッセージ2(写真付き)
無事手術が完了しましたら、元気になったラフの写真と一緒に感謝のメールをお送りさせて頂きます!
- 申込数
- 51
- 在庫数
- 制限なし
- 発送完了予定月
- 2025年9月
1,000円+システム利用料

感謝のメッセージ1(写真付き)
無事手術が完了しましたら、元気になったラフの写真と一緒に感謝のメールをお送りさせて頂きます!
- 申込数
- 37
- 在庫数
- 制限なし
- 発送完了予定月
- 2025年9月
3,000円+システム利用料

感謝のメッセージ2(写真付き)
無事手術が完了しましたら、元気になったラフの写真と一緒に感謝のメールをお送りさせて頂きます!
- 申込数
- 51
- 在庫数
- 制限なし
- 発送完了予定月
- 2025年9月
プロフィール
ラフ|5歳トイプードル♂ 心臓病を抱えた我が子の手術完治を目指しています 小さな命を救うため、クラファン挑戦中 ご支援・シェアお願いいたします。














