
支援総額
目標金額 1,500,000円
- 支援者
- 62人
- 募集終了日
- 2024年4月26日
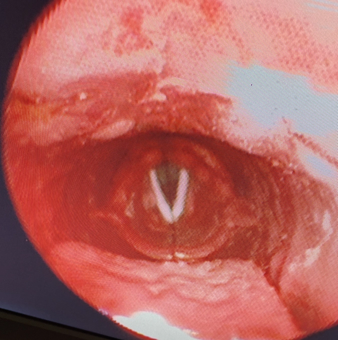
嚥下内視鏡ケーススタディ用のマネキン作製進捗について
ご支援頂きましたみなさま
たいへんお世話になっております。
クラウドファンディング終了から既に1年が経過してしまいました。
今週ようやく、1体目を組み立てる段階まできました。
時間がかかりまして申し訳ございません。
元のモデルとの違いですが、元のモデルが歯科用のアクリルレジンと
市販のホビー用のレジンで手探りで作製したものでした。
これを基に分解したモデルの3Dデータ化をおこない、
3Dプリンターで複製し組み立てたものが、今回の1体目のマネキンになります。
元のモデルはレジンの塊でたいへんな重量(2kg程度)がありました。
3Dプリンターで作製したモデルは、非常に軽く(500mg程度)扱いやすくなりました。
しかしながら、複製した各パーツについては細かい調整をしなければ
形にすることがまだまだ難しく、円滑な量産体制には至っていません。
今後、データ上の細かい調整作業を繰り返し、容易に量産できるようになりましたら、
これからVEを実践される仲間にマネキンを届けて、多くの嚥下障害の患者さんに
応えられる機会がつくられるきっかけになればと思います。
以上、遅くなりましたが、現時点での進捗をご報告致しました。
特許申請の件についてですが、5/20付けで特許庁のHPにこのマネキンの特許申請の情報が詳しく公開されました(JP 2025-78207 A 2025.5.20)。お時間があればぜひお目通し下さい(まだ特許の取得には至っていません)。
近日また、報告致します。
報告内容をお目通し下さりありがとうございました。
これからもよろしくお願い申しあげます。
医療法人 鶴岡クリニック
歯科口腔外科 森崎重規
リターン
3,000円+システム利用料
お気持ちコース
・感謝のメール
- 申込数
- 10
- 在庫数
- 制限なし
- 発送完了予定月
- 2024年12月
10,000円+システム利用料
応援コース
・感謝のメール
・販売チラシorリーフレットへ、支援者様としてお名前掲載
今後、モデルの量産に入りましたら、お名前の入ったチラシまたはリーフレット案を添付送信させていただきます。
- 申込数
- 30
- 在庫数
- 制限なし
- 発送完了予定月
- 2025年8月
3,000円+システム利用料
お気持ちコース
・感謝のメール
- 申込数
- 10
- 在庫数
- 制限なし
- 発送完了予定月
- 2024年12月
10,000円+システム利用料
応援コース
・感謝のメール
・販売チラシorリーフレットへ、支援者様としてお名前掲載
今後、モデルの量産に入りましたら、お名前の入ったチラシまたはリーフレット案を添付送信させていただきます。
- 申込数
- 30
- 在庫数
- 制限なし
- 発送完了予定月
- 2025年8月

ぬるぬるのお引越|万博・落合陽一 null²パビリオン次なる場所へ
#ものづくり
- 現在
- 216,916,000円
- 支援者
- 12,301人
- 残り
- 29日

浪速区の日常は、これからも私たちが守る|新たな患者情報共有システム
- 現在
- 15,235,000円
- 支援者
- 77人
- 残り
- 36日

ひとつの心室で生きていく。フォンタン手術の患者をみんなで支援したい
- 現在
- 3,409,000円
- 寄付者
- 171人
- 残り
- 29日

移植医療の未来を。「こころの教育」を全国の学校へ
- 現在
- 1,745,000円
- 支援者
- 123人
- 残り
- 52日

ALS・認知症・アミロイド疾患へのご支援を!新薬開発サポーター
- 総計
- 2人

不安な将来をみんなで解決!"いしいさん家"サポーター大募集!
- 総計
- 12人

【応援サポーター募集中!】笹塚十号のいえプロジェクト
- 総計
- 10人












