PSSとGESF、2つの難病を抱える愛猫をどうか助けてください!

PSSとGESF、2つの難病を抱える愛猫をどうか助けてください!

支援総額

562,000

目標金額 400,000円

支援者
97人
募集終了日
2023年7月20日

    https://readyfor.jp/projects/akubikomachi?sns_share_token=&utm_source=pj_share_url&utm_medium=social
    専用URLを使うと、あなたのシェアによってこのプロジェクトに何人訪れているかを確認できます
  • Facebook
  • X
  • LINE
  • note

プロジェクト本文

終了報告を読む

 

▼達成のお礼とネクストゴールについて

 

6月13日からスタートしましたクラウドファンディングですが、7日目に目標金額である400000円を達成致しました。 ご協力、ご支援くださった皆様に心より感謝申し上げます。本当にありがとうございました。

 

ペットのクラウドファンディングに挑戦するということで賛否両論あり、本当に達成できるのか非常に不安でしたが、皆様からのご協力、ご支援のおかげでプロジェクトを敢行することができ心から嬉しく思っています。

 

温かいメッセージ等に支えられ、目標に向かって走ることができているのだと改めて実感しています。本当にありがとうございました。

 

そして、現在着々と準備が進む中で、ネクストゴールを設置させていただくことといたしました。

 

次の目標金額はクラウドファンディング立ち上げまでにかかった治療費(診断書がある病院分)540000円です。

 

 

ネクストゴールでいただいたご支援金については、現在までにかかったムニャ丸の消化管好酸球性硬化性線維増殖症の治療費充填として大切に活用させていただきます。

 

仮にネクストゴールの金額を達成できなかった場合も、自己資金を元に実施はさせていただく予定ですが、皆様からの多くのご支援いただけますと幸いです。

 

皆さまからの想いを無駄にしないよう努めてまいりますので、残りの期間、引き続きご協力いただけると幸いです。どうぞよろしくお願い致します。

 

 

 

 

▼自己紹介

 

初めまして。飼い主の浦田と申します。

この度は、私のプロジェクトページをご覧頂き誠にありがとうございます。

 

2023年3月26日、12年間一緒に過ごしてきた前猫ガチャコを扁平表皮癌で亡くし、満身創痍となった私を助けてくれたのがこの天真爛漫な「ムニャ丸」でした。

 

猫カフェでのムニャ丸

 

ガチャコと同じく、猫カフェにいたところをあまりの人懐っこさに一目惚れし、4月4日にお迎えする運びとなりました。

 

わが家に来た日のムニャ丸

 

3月癌で亡くなったガチャコ

ムニャ丸が来てくれたことで随分救われました

 

生まれてから6ヶ月間、ブリーダーや猫カフェを転々とし、やっとずっとのおうちであるわが家にたどり着いた愛猫「ムニャ丸」

お迎えの翌日から体調を崩し、なんと2つの難病を抱えていることが発覚しました…!

 

 

▼プロジェクトを立ち上げたきっかけ

 

お迎え翌日から嘔吐下痢、血便が続き、検査の結果、門脈体循環シャント・消化管好酸球性硬化性線維増殖症という2つの難病を患っていることが発覚し、愕然としました。

 

ガチャコを亡くしたばかりでそんなすぐに新しい猫をお迎えするなんて…という少し後ろめたいような気持ちでしたが、今思えばわが家に来て病気に気づき、治療を受けて命を繋げることができたことは、ガチャコが引き合わせてくれたご縁なのかもしれません。

 

 

なんとか元気になって欲しい!

 

しかし、2つも難病を抱えており度重なる手術・一生涯に渡る投薬などあまりにも治療費が高額になってしまい私1人では力及ばず…。

個人のペットに対する支援ということで大変心苦しいお願いなのですが、皆様に力を貸していただけたらと思い、プロジェクトを立ち上げさせていただきました。

 

門脈体循環シャント(PSS)とは

 

猫の門脈体循環シャントとは、本来肝臓に入るべき胃腸からの血液が、「シャント」と呼ばれる異常な血管を経由して、解毒を受けないまま全身を巡ってしまうことです。

その結果、有害な物質が体の各所に届くようになり、様々な弊害を生み出すと同時に、肝臓が栄養失調に陥って小さく萎縮してしまいます。この状態が「門脈体循環シャント」です。 

 

 

大変珍しい病気「門脈体循環シャント」

 発症率が非常に低く、血液検査・総胆汁酸検査・X線検査・超音波検査、最終的には造影剤CT検査をしないと病気の確定ができないため、非常に検出が難しい病気です。病気の症状が進行してからでは手遅れとなるため、手術は一刻も早く行う必要がありますが、手術は高度な技術を持つ専門家でないと行えません。また、手術後の合併症のリスクが高く、手術後の定期的な治療と監視が必要となり、費用が高額になります。

 

症状

・肝性脳症に伴う異常行動

・よだれが多い

・食欲不振

・尿結石

・血尿

・尿の1回量が少ない

・おしっこの回数が多い

・尿酸アンモニウム血症

 

引用先

https://www.konekono-heya.com/byouki/syoukaki/kansui/shunt.html

 

消化管好酸球性硬化性線維増殖症(GESF)とは

 

腸に腫瘤ができる炎症性疾患です。消化管好酸球性硬化性線維増殖症とは、猫の腸に免疫細胞の一種である好酸球がしこり(肉芽腫)を作る病気です。胃の出口付近や小腸と大腸の境界に当たる回盲部に腫瘤を作ることが多く、腸管が腫瘤によって狭窄するために消化器症状が見られます。消化管にできる腫瘍などと類似していますが、その実態は炎症性疾患であるため、治療は炎症を抑えるステロイド剤や抗生剤で治療しますが、治療経過が思わしくない場合は病変部を切除しなければならない場合もあります。原因としてアレルギーの関与や細菌の関与なども疑われていますが、まだ原因はわかっておらず治療法も確立していません。 

 

症状

腫瘤による消化管の狭窄によって主に消化器症状が見られます。

・元気がない

・食欲低下

・吐き気、嘔吐・下痢

・体重減少

脱水症状腫瘤は大きくなると潰瘍化したり穿孔することもあり、また大きくなった腫瘤が近くの臓器(肝臓や膵臓)と癒着を起こしたり腸管が完全閉塞することもあります。診断・治療が遅れると死に至る危険もあります。

 

引用先

https://withpety.com/dictionary/kiji/335.html

 

 

▼これまでの経緯

 

4月4日

迎えたばかりのムニャ丸が嘔吐、下痢。

 

4月5日

病院に連れて行くが原因はわからず。

整腸剤等で様子を見ることに。

 

4月10日~22日

早朝に更に大量嘔吐→病院へ

肝臓の数値に異常あり、総胆汁酸の検査を行う。エコーにて膀胱内に結石も見つかる。検査の結果、先天性門脈体循環シャントの疑いあり。両目の結膜炎、皮膚糸状菌症 (猫カビ)も発症しており、投薬やシャンプーによる治療開始。ただし、猫カビの薬は肝臓に負担がかかるため、都度の血液検査など注意が必要とのこと。造影剤CTが可能な大きい病院に転院。

 

4月27日

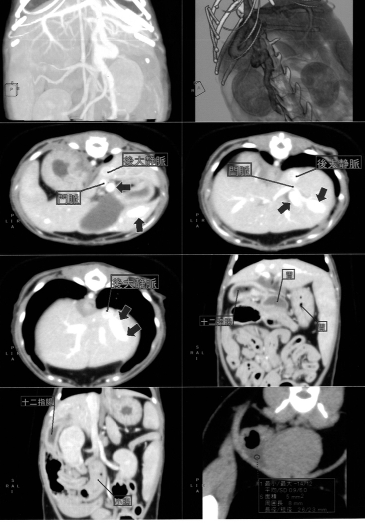
転院先の病院で造影剤CTを受ける。 

検査の結果、門脈シャントであることが確定。シャントが太く難しい場所にあり、十二指腸の腫れ、腹水も認められる。太いシャントの場合は、一度に血管を閉鎖すると一気に門脈血流が増加することで症状が悪化するため、複数回に分けて手術が必要になる可能性があるとの説明がある。肝臓に疾患があり麻酔薬を分解できないためCT時の麻酔ですらなかなか目覚めず、門脈シャントの開腹を伴う手術の麻酔に体が耐えられない可能があるとのこと。しかし内科的治療だけでは数ヶ月~数年の延命しか望めないため、手術成功に望みを託して手術をお願いする

猫カビの治療薬は肝臓に負担がかかるため、一旦休止

 

造影剤CT画像

肝臓に入っていくはずの血管が違う場所に繋がっています

しかもかなり太いそう

 

 

5月3日

門脈シャント手術日

術開始から1時間後、臓器がパンパンに腫れ、胃と十二指腸の間に穿孔(穴)がある、漏れ出した食べ物の液などで周りが化膿している、すぐに命に関わる症状であるためそちらの手術を優先したほういがいいと病院から電話がある。今回は門脈シャント手術は中止。腫れている部位にまた穿孔ができる可能性があるので、腫れがある部位をできるだけ切除し、胃と十二指腸を繋ぎ合わせる手術を行ってもらう。

手術は成功し、3日間の絶食、その後流動食から開始し、胃と十二指腸がちゃんと繋がっているか確認。臓器の腫れによりうまく繋がらない可能性もあり、その場合は緊急手術になるとのこと。十二指腸に穿孔ができる原因でよくあるものは棒など異物の誤飲である、もしも消化管好酸球性硬化性線維増殖症によるものであれば治療は困難になるとのお話がある。

切除した十二指腸は病理検査に出し腫瘍等が見つかった場合はその治療が必要になる、腹水が減っていかない場合も違う病気の可能性が疑われるのと説明がある。

 

術後2日目のムニャ丸

少し動けるようになりました

 

 

5月8日

順調に回復し、退院

在宅にて投薬と療養食でのケアを続ける。

 

十二指腸の穴が塞がり、

顔がスッキリしました

 

5月13日

病理検査の結果、なんと悪い方の検査結果、胃腸管好酸球性硬化性線維増殖症との結果…。

目の前が真っ白になる。

嘔吐や下痢、腹水は門脈シャントではなく、胃腸管好酸球性硬化性線維増殖症からきているものだったのではないかという主治医の見解。真菌を確認するための特殊染色も行ってもらうことになる。

ステロイド剤・抗生剤による治療開始。一生涯において投薬を続けないとならない。再度穿孔が再発する可能性がある。再手術になるとかなり困難な手術になるが、手術しないとなると安楽死も視野に入れないといけなくなるとのことで、ステロイドが効くことを祈るしかない。

 

 

5月19日

無事抜糸する

ステロイド剤と抗生剤は続投。

特殊染色の結果、真菌・細菌・抗酸菌は認められなかったそう。ムニャ丸の場合は細菌感染からの胃腸管好酸球性硬化性線維増殖症ではなかった様子。今後肝臓の数値を見ながら薬の調整をするため、2週間に一度の通院、血液検査が必要。また、体や体力の状態を見ながら、門脈シャントの手術に関しても熟考していかなくてはなず、その場合複数回の手術が必要になるかもしれない。

 

術後着からも卒業です

 

今までにかかった治療費

4月5日 9845円

4月10日 51590円

4月15日 20460円

4月17日 8140円

4月19日 12265円

4月22日 4290円

4月27日 30000円(手術内金)

4月27日 89759円

5月1日 7113円

5月3日 50000円(入院内金)

5月8日 324352円

5月13日 1826円

5月13日 2624円

5月19日 18013円

5月30日 18317円

合計 648594円

 

このうち、入院•手術にかかった374352円(5月3日の手術内金50000円、5月8日の324352円)を補填させていただきたく、クラウドファンディングに参加しております。

 

 

 

 

※報告書・領収書に関して、病院名を伏せることを条件に掲載許可をいただいています。

 

▼プロジェクトの内容

 

資金使途

 

今後かかる治療費は、2週間に1回の診察•検査(血液検査、エコー等)、ステロイド・抗生剤・療養食で1月約40,000円ほど。

 

ムニャ丸の治療費を捻出するために、前職より給料の良い職場に転職しましたが、介護士の私の貯蓄と給料だけでは充分な治療が難しい状況です。

 

また、門脈シャントの手術日が決定した場合、更に造影剤CT1回につき約15万円 、門脈シャント手術1回につき約35万円が必要になります(ムニャ丸の場合はシャント血管が太いので、手術が2回になる可能性もあります)。

 

前猫ガチャコの癌治療費から立て続けにムニャ丸の治療費がかさみ、クレジットカードで自転車操業しながらなんとか治療を続けています。

 

目標金額はクレジットカードで支払いを先延ばしにしている消化管好酸球性硬化性線維増殖症の手術費用分約35万円とREADYFOR手数料を足して40万円で設定させていただいています。

プロジェクト達成までの金額は、今までにかかった治療費とさせて頂きました。

 

 いただいたご支援は、まだ支払えていない手術入院費に全て充させていただきます。

 

もし、万が一ムニャ丸が亡くなり、治療を継続できない事態となった場合には、これまで支払った治療費に充てさせていただきます。

 

こちらはプロジェクトを行うにあたり、規約のがあり記載をしましたが、無事に治療が継続できるよう最善を尽くして参ります。

 

 

▼プロジェクトの展望・ビジョン

 

適切な治療を受け、消化管好酸球性硬化性線維増殖症の再発を防ぎ、一日でも長くムニャ丸に穏やかな毎日を送ってもらいたいです。

 

 

手術をするまでのムニャ丸は、べったりと私にくっついてきて、甘えていました。

恐らく具合が悪く、心細かったり助けて欲しかったりからくる生きる知恵だったんだと思います。

 

まだまだ越えなくてはいけない山がありますが、今は動けるのがとても楽しい様子です。

 

お気に入りのネズミのおもちゃを持って走っています

自分自身で面倒をみるのが飼い主の勤めであり様々なご意見もあると思いますが、まだ半年しか生きていないムニャ丸を助かるために少しでもお力添えいただけるとありがたいです。

よろしくお願いいたします。

 

 

<ご支援にあたっての注意事項>

 

▼ペット保険について

ペット保険による補償の有無:無保険

お迎え翌日から不調のため、保険に加入できませんでした。

 

▼万が一の場合の代替の資金使途について万が一、ムニャ丸が亡くなってしまった場合、いただいた支援金については、今までかかった治療費に充てさせていただきたいと考えております。 

 

 

▼お問い合わせ先について

本クラウドファンディングについてのお問い合わせは以下までご連絡ください。

メールアドレスpandaco1974@gmail.com

浦田までご連絡ください。

 

▼掲載している資料について

ページ上に掲載されている診断書や領収書、検査の結果などは全て動物病院から掲載の許可を得ております。

 

▼治療方針などが変更になった場合についてプロジェクト実施完了までの間に治療方針や治療要否に変更が生じた場合、支援者の皆様READYFOR事務局に速やかにお伝えします。

 

▼READYFOR事務局からのご連絡ペットの治療費用を集めるクラウドファンディングに関しては、以下のガイドラインもご確認ください。【ペットの治療費用を集めるクラウドファンディングに関する当社の考え】https://legal.readyfor.jp/guidelines/launching_project/pet_care/ 

 

 

 

 

 

プロジェクト実行責任者:
浦田優
プロジェクト実施完了日:
2023年9月30日

プロジェクト概要と集めた資金の使途

消化管好酸球性硬化性線維増殖症の治療を行います。
いただいたご支援は、 すでに完了している「消化管好酸球性硬化性線維増殖症」の手術費用の補填として使用します。

リスク&チャレンジ

プロジェクトに必要な金額と目標金額の差額について
必要金額と目標金額の差額は、自己資金にて補填いたします。

あなたのシェアでプロジェクトをさらに応援しよう!

    https://readyfor.jp/projects/akubikomachi?sns_share_token=&utm_source=pj_share_url&utm_medium=social
    専用URLを使うと、あなたのシェアによってこのプロジェクトに何人訪れているかを確認できます
  • Facebook
  • X
  • LINE
  • note

プロフィール

はじめまして、浦田と申します。 現在難病をかかえる7ヶ月のエキゾチックロングヘア・ムニャ丸と京都で暮らしています。 自分自身も癌サバイバーで、このプロジェクトの立ち上げを手伝ってくれた友人たちに支えられて頑張って生きています。

あなたのシェアでプロジェクトをさらに応援しよう!

    https://readyfor.jp/projects/akubikomachi?sns_share_token=&utm_source=pj_share_url&utm_medium=social
    専用URLを使うと、あなたのシェアによってこのプロジェクトに何人訪れているかを確認できます
  • Facebook
  • X
  • LINE
  • note

リターン

1,000+システム利用料


感謝のメール

感謝のメール

ご支援くださった支援者様全員にメールにてお礼のメッセージを送らせていただきます。

経過や収支は活動報告にてお知らせ致します。

※メールアドレスや住所はリターンの履行のみを目的として取得されます。

申込数
51
在庫数
制限なし
発送完了予定月
2023年9月

3,000+システム利用料


ムニャ丸ステッカー

ムニャ丸ステッカー

ご支援くださった支援者様全員に郵送にてムニャ丸ステッカー、お礼のメッセージを送らせていただきます。

 経過や収支は活動報告にてお知らせ致します。

※メールアドレスや住所はリターンの履行のみを目的として取得されます。

申込数
37
在庫数
制限なし
発送完了予定月
2023年9月

1,000+システム利用料


感謝のメール

感謝のメール

ご支援くださった支援者様全員にメールにてお礼のメッセージを送らせていただきます。

経過や収支は活動報告にてお知らせ致します。

※メールアドレスや住所はリターンの履行のみを目的として取得されます。

申込数
51
在庫数
制限なし
発送完了予定月
2023年9月

3,000+システム利用料


ムニャ丸ステッカー

ムニャ丸ステッカー

ご支援くださった支援者様全員に郵送にてムニャ丸ステッカー、お礼のメッセージを送らせていただきます。

 経過や収支は活動報告にてお知らせ致します。

※メールアドレスや住所はリターンの履行のみを目的として取得されます。

申込数
37
在庫数
制限なし
発送完了予定月
2023年9月
1 ~ 1/ 6

プロフィール

はじめまして、浦田と申します。 現在難病をかかえる7ヶ月のエキゾチックロングヘア・ムニャ丸と京都で暮らしています。 自分自身も癌サバイバーで、このプロジェクトの立ち上げを手伝ってくれた友人たちに支えられて頑張って生きています。

あなたにおすすめのプロジェクト

注目のプロジェクト

もっと見る

新着のプロジェクト

もっと見る