
支援総額
目標金額 350,000円
- 支援者
- 53人
- 募集終了日
- 2025年7月13日

老病ねこたちが最後まで安心して過ごせるおうちを守っていきたい!
#医療・福祉
- 現在
- 1,928,000円
- 支援者
- 145人
- 残り
- 8日

救う命を選ばない。どんな犬猫も保護し続け福岡の里親さんを増やしたい
#動物
- 現在
- 3,003,000円
- 支援者
- 282人
- 残り
- 1日

絶滅の危機に瀕しているシマアオジ 彼らのいる景色を取り戻したい
#国際協力
- 現在
- 4,166,400円
- 寄付者
- 343人
- 残り
- 18時間

行き場のない猫たちに幸せな明日を届けたい。保護猫たちの医療費支援を
#動物
- 現在
- 1,755,000円
- 支援者
- 134人
- 残り
- 29日

置き去りにされた猫に手術を行いたい
#地域文化
- 現在
- 346,000円
- 支援者
- 58人
- 残り
- 3日

交通事故にあった野良猫「ミケコちゃん」の治療費をご支援ください
#動物
- 現在
- 266,000円
- 支援者
- 54人
- 残り
- 30日

猫伝染性腹膜炎を患ったポンちゃんの明日をつないで頂けないでしょうか
#動物
- 現在
- 151,000円
- 支援者
- 41人
- 残り
- 1日
プロジェクト本文
終了報告を読む
7月2日追記
・6月25日に行った血液検査・診察の結果、治療方針が
小腸の切除手術から抗がん剤治療へと変更になりました。
理由としては、
血液検査の結果が芳しくなく重度の貧血、及び傷を治す為に必要なアルブミンの数値が低く、
手術自体のリスクが高い状態となっています。
そして腫瘍摘出に成功したとしても、傷口が塞がらず術後に亡くなってしまうリスクも高く、
手術ではなく抗がん剤治療を行う事が今の一番の治療方針だと判断された為です。
頂いたご支援は、引き続き治療の為に使わせていただきます。
新しい資金使途の内訳は下記となります。
20,000円~25,000円/回
10週間で15~20万円ほど。
25週間で40万円ほど。
現在のところ2025年12月17日までの25週間治療を継続する予定です。
↓病院から頂いたプランノートを添付します。
▼自己紹介
はじめまして。
大阪府在住の坂田 高弘と申します。
たくさんのプロジェクトがある中、当プロジェクトをご覧くださり本当にありがとうございます。
現在我が家では他の動物が苦手な犬を飼っており、
継続して新たな猫を飼育していく事が難しい環境です。
そのため新しい飼い主さんを見つけるまでの一時保護と思い、
人生で初めて野良猫を保護したのですが、
保護した猫ちゃんから様々な病気が見つかってしまいました。
こうなると譲渡先を探す訳にもいかず、
なんとか先住犬と保護猫ちゃんそれぞれにストレスがかからないよう、
保護猫ちゃんの最期の時まで出来る限りのお世話をしていこうと四苦八苦しているところになります。
▼プロジェクトを立ち上げたきっかけ
保護猫ちゃんの小腸に腫瘍が出来ており、
腫瘍部分切除を行う手術費用のご支援をお願いしたいと思いプロジェクトを立ち上げました。
手術をしたいと思うに至るまでの経緯を書いていきます。
今年の5月頭頃から、犬の散歩で毎日行く近所の公園で野良猫が住み着きだしました。
いつも蚊がたくさん飛んでいる草むらの中でじっと座っており、
この子の健康状態は大丈夫なのか?とずっと気になっていました。
↓野良時代
・5月9日
大阪で強めの雨が降り、
雨の中大丈夫かと気になって気になって仕方なくなり、
公園へ見に行くとプレハブ小屋の下の隙間に隠れているところを見つけ保護しました。
そのまま病院でノミダニの駆虫を行い、エイズ・白血病の検査をしてもらったところ共に陰性でした。
体重3kg。
↓保護初日
・5月15日
夜から朝方にかけて2度嘔吐。
翌日かかりつけの病院が休診日だったので初めて行く病院に連れて行き、
血液検査をしたところ慢性腎不全の可能性があるとの診断。
吐き気止めと皮下点滴で水分補給して貰った。
・5月16日
かかりつけの病院へ行き、血液検査の結果を見てもらった所、
慢性腎不全の可能性もあるが数値上ではステージ2に入ったばかりで
腎不全が嘔吐の原因になっている可能性は低いとの診断。
原因追及のためにエコー検査をしてもらった所、
お腹に大きな嚢胞が一つ、その横に小さな嚢胞が一つ見つかった。
エコーでは正体が分からない為、CTの設備がある病院で検査をすることを勧められる。
この日から吐き気止めと皮下点滴、ステロイド注射を行う為に2日に一度通院することになった。
体重2.7kg。
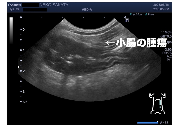
5月18日
かかりつけ病院で再度血液検査とエコーをして貰った。
ここでの血液検査結果も変わらず慢性腎臓病ステージ2の数値だった。
エコーでは嚢胞の大きさは変わらずだったが、
小腸に腫瘍が新たに見つかった。
・5月20日
CTのある病院へ行き、CT検査をして貰う。
二つあった嚢胞のうち、大きな嚢胞は左側の腎臓だった。
尿管結石による長期間の閉塞があり、左側の腎機能はほとんど残っていない状態。
また、小さい嚢胞は腫大した脾臓だった。
リンパ腫の可能性が高いとの事。
脾臓と小腸の腫瘤を針で採取し細胞診に出してもらった。
また、両耳にも異常が見られほとんど耳が聞こえてない状態だとのこと。
悪い話ばかりで悲しい。
体重2.6kg
・5月25日
猫ちゃんの最期の時まで我が家でお世話をする決意をし、
生望(うみ)と名付けた。
・5月26日
細胞診の結果が返ってきた。
脾臓、小腸ともに確定診断には至らず。
更に細かく検査するために、採取した細胞を増幅する検査を追加で依頼した。
・6月1日
検査結果が返ってきたが残念ながら確定診断は出なかった。
・6月3日
病院で液体の飲むタイプの吐き気止めの処方してもらい、飲ませた瞬間に大量の嘔吐。
かわいそうなことをした。。。
・6月4日
飲むタイプが合わなかったので点滴と注射をしてもらいに病院へ。
体重が2.4kgまで落ちていた。
併せて今後の治療方針を相談した。
うみちゃんは病気が治ったり、寛解することは期待出来ないが
今出来る一番の治療方法として、小腸の腫瘍切除手術を勧められている。
これは小腸の病変のある部位を切除し、健康な部位を繋げなおすもので
現在の嘔吐や食欲不振による体重減少が改善する可能性が高く、
うみちゃんのQOLは上がり穏やかな余生が過ごせます。
また、病変を切り取って検査出来るので、原因不明だった腫瘍が何なのか、
確実に診断できることもメリットだそうです。
うみちゃんは非常に人懐っこく、座っているとすぐに膝の上に乗って甘えてきます。
元飼い猫だと思うのですが、飼い主さんを探しても見つかりませんでした。
うみちゃんとの付き合いはまだ1カ月程度と短いですが、 縁あって我が家に来た子ですし、
野良猫だからと治療をせずに諦める選択肢を取れませんでした。
出来る限りの治療をしてあげたいのですが、費用が重くのしかかっています。
うみちゃんに手術をしてあげれるよう、皆様のご支援をお願い出来ないでしょうか?
誠に勝手ではありますが、何卒よろしくお願い申し上げます。
▼プロジェクトの内容
うみちゃんは複数の病気を抱えています。
その中の小腸の腫瘍の切除手術費用をご支援お願い出来ないでしょうか?
小腸の腫瘍は嘔吐の原因になっている可能性が高く、
食が細い原因にもなっているとのことです。
お腹いっぱいご飯を食べ、すこしでも元気で長生きして欲しいと思っています。
ご協力頂いた支援金は全て責任を持って、
うみちゃんの手術代として全額使用させて頂きます。
▼プロジェクトの展望・ビジョン
必要な治療を行い、少しでも体がラクな状態で穏やかな余生を過ごさせてあげたい。
<プロジェクトについて>
(1)資金の使途
うみちゃんの現在治療中である小腸腫瘍切除の外科手術代にあてます。
(2)目標金額と資金の内訳
目標金額:350,000円
(資金の内訳)
今後の治療費:300,000円(手術代、手数料として)
プロジェクトの目標金額と手数料と振込金額は
目標金額:350,000円
手数料 :49,000円(14%)
税10% :3,500円
合計 : 296,100円
不足分の3,900円は自己資金で行います。
(3)集める資金を使用しての治療期間
2025年7月21日~2025年7月25日
※治療内容や治療費、治療期間は動物病院の確認が取れています。
<ご支援にあたっての注意事項>
▶︎ 1. ペット保険について
ペット保険による補償の有無:無し
▶︎ 2. 万が一の場合の代替の資金使途について
万が一、うみちゃんが亡くなってしまった場合、いただいた支援金については、返金はせずこれまでの治療費に当てさせていただきます。
▶︎ 3. 問い合わせ先について
本クラウドファンディングに関するお問合せは以下までご連絡ください。
連絡先:坂田 高弘
(taa0330@gmail.com)
▶︎ 4. 掲載している資料について
ページ上に掲載している診断書や診療明細書などの資料は全て動物病院から掲載の許諾を得ております。
▶︎ 5. 治療方針などが変更になった場合について
プロジェクト実施完了までの間に、治療方針や治療の要否に変更が生じた場合、支援者の皆様、READYFOR事務局に速やかにお伝えします。
▶︎ 6. READYFOR事務局からのご連絡
ペットの治療費用を集めるクラウドファンディングに関しては、以下のガイドラインもご確認ください。
【ペットの治療費用を集めるクラウドファンディングに関する当社の考え】
https://legal.readyfor.jp/guidelines/launching_project/pet_care/
- プロジェクト実行責任者:
- 坂田 高弘
- プロジェクト実施完了日:
- 2025年7月25日
プロジェクト概要と集めた資金の使途
うみちゃんの治療をします。 頂いたご支援は、小腸腫瘍切除の外科手術代、クラウドファンディング税込み手数料として使用します。
あなたのシェアでプロジェクトをさらに応援しよう!
プロフィール
あなたのシェアでプロジェクトをさらに応援しよう!
リターン
1,000円+システム利用料

感謝のメール1
感謝のメールをお送り致します。
うみの経過報告を致します。
- 申込数
- 14
- 在庫数
- 制限なし
- 発送完了予定月
- 2025年10月
3,000円+システム利用料

感謝のメール2
感謝のメールをお送り致します。
うみの経過報告を致します。
- 申込数
- 17
- 在庫数
- 制限なし
- 発送完了予定月
- 2025年10月
1,000円+システム利用料

感謝のメール1
感謝のメールをお送り致します。
うみの経過報告を致します。
- 申込数
- 14
- 在庫数
- 制限なし
- 発送完了予定月
- 2025年10月
3,000円+システム利用料

感謝のメール2
感謝のメールをお送り致します。
うみの経過報告を致します。
- 申込数
- 17
- 在庫数
- 制限なし
- 発送完了予定月
- 2025年10月












