
支援総額
723,000円
目標金額 600,000円
- 支援者
- 111人
- 募集終了日
- 2025年10月20日
https://readyfor.jp/projects/07-15?sns_share_token=&utm_source=pj_share_url&utm_medium=social
2025年08月29日 01:53
近況報告①
御支援頂き有難うございます‼️
SUBシステム出術後は感染症に感染していたものの
特に大きく体調を崩すことも無く毎日元気に
走り回っているレオ君です!
大好きなダンボールの中で
何かを狙っているようです👀

感染症の抗生剤のお薬はチュールと一緒にあげるので
抗生剤も喜んで飲んでくれています😅
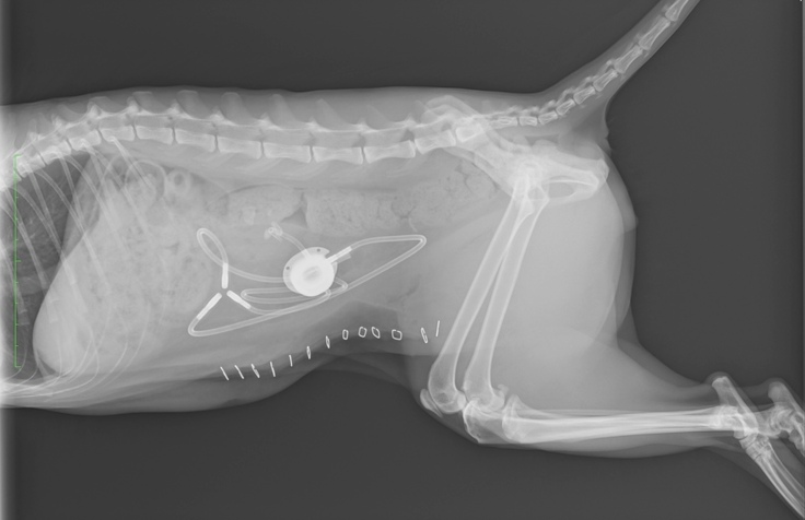
手術後のお腹の中はどうなっているのかな?と
気になったので写真を頂いてみました!


医療技術の進歩は凄いですね‼️
今後はSUBシステムのポート洗浄を
行う必要があります!
また近況を報告させて頂きます🙇♂️
Instagramでもレオ君の近況報告しているので
こちらも是非ご確認ください‼️
アカウント名:oreo_715
リターン
10,000円+システム利用料

レオの応援4
ご支援頂き有難うございます!
お礼のメールおよび近況報告をさせて頂きます。
ご支援頂きました全てをレオの手術関連費用に
充てさせて頂きます。
その為、リターン無しでの対応ご了承ください。
- 申込数
- 23
- 在庫数
- 制限なし
- 発送完了予定月
- 2025年11月
1,000円+システム利用料

レオの応援1
ご支援頂き有難うございます!
お礼のメールおよび近況報告をさせて頂きます。
ご支援頂きました全てをレオの手術関連費用に
充てさせて頂きます。
その為、リターン無しでの対応ご了承ください。
- 申込数
- 53
- 在庫数
- 制限なし
- 発送完了予定月
- 2025年11月
10,000円+システム利用料

レオの応援4
ご支援頂き有難うございます!
お礼のメールおよび近況報告をさせて頂きます。
ご支援頂きました全てをレオの手術関連費用に
充てさせて頂きます。
その為、リターン無しでの対応ご了承ください。
- 申込数
- 23
- 在庫数
- 制限なし
- 発送完了予定月
- 2025年11月
1,000円+システム利用料

レオの応援1
ご支援頂き有難うございます!
お礼のメールおよび近況報告をさせて頂きます。
ご支援頂きました全てをレオの手術関連費用に
充てさせて頂きます。
その為、リターン無しでの対応ご了承ください。
- 申込数
- 53
- 在庫数
- 制限なし
- 発送完了予定月
- 2025年11月
1 ~ 1/ 8
このページを見た人はこんなプロジェクトもチェックしています
itk311208
チョロ飼い主
kinakomozuku
高橋
東山 真理
ノエルママ
TAKAHIRO.OZEKI

ジジを助けたいです。元野良猫ジジのFIP治療費のお願い。
68%
- 現在
- 530,000円
- 支援者
- 94人
- 残り
- 2日

13年ケージに入れられていたチワワに手術を受けさせたい
16%
- 現在
- 181,000円
- 支援者
- 24人
- 残り
- 13日

【4歳10ヶ月悪性リンパ腫】愛猫きなこの抗がん剤治療のためのご支援
26%
- 現在
- 237,000円
- 支援者
- 62人
- 残り
- 32日

置き去りにされた猫に手術を行いたい
366%
- 現在
- 366,000円
- 支援者
- 63人
- 残り
- 1日

命の危機が迫っています!僧帽弁閉鎖不全症・三尖弁閉鎖不全症
105%
- 現在
- 737,000円
- 支援者
- 64人
- 残り
- 16日

【尿管閉塞】愛猫ノエルくんに治療費のご支援をお願い致します。
34%
- 現在
- 166,000円
- 支援者
- 29人
- 残り
- 8日

地域の野良猫を守りたい!小さな命にTNRと医療を届けるプロジェクト
48%
- 現在
- 58,000円
- 支援者
- 18人
- 残り
- 1日











