
支援総額
目標金額 770,000円
- 支援者
- 270人
- 募集終了日
- 2021年7月9日

【継続支援のお願い】高齢、障がいの保護犬が穏やかに過ごせますように
#動物
- 総計
- 193人

引退競走馬にセカンドキャリアを!!
#動物
- 総計
- 101人

救う命を選ばない。どんな犬猫も保護し続け福岡の里親さんを増やしたい
#動物
- 現在
- 3,003,000円
- 支援者
- 282人
- 残り
- 1日

インドネシア路上猫の楽園|継続ご支援募集始めました
#国際協力
- 総計
- 17人

“まあくんの家“応援隊募集‼︎行き先のない子達の医療と継続のために
#動物
- 総計
- 189人

にゃんこのしっぽサポーター募集★石垣島の捨てられた猫たちに治療を!
#動物
- 総計
- 124人

【まあくんハウスマンスリーサポーター】保護した野犬・成犬に未来を
#フード
- 総計
- 71人
プロジェクト本文
終了報告を読む
▼今後について
皆様、本当にりくのためにご支援頂きましてありがとうございました。
おかげさまでプロジェクトが達成いたしました!
私自身ここまでいろんな方に支えて頂けるんだと驚き嬉しく、毎日りくに報告していました。
達成見込みが出たあたりで、病院に向かい、整形専門の「藤井寺動物病院」「ネオベッツvrセンター」の2件に診察に行きました。(当初予定していた病院では手術を断られたため)
(藤井寺動物病院)
(藤井寺動物病院、ネオベッツvrセンター)
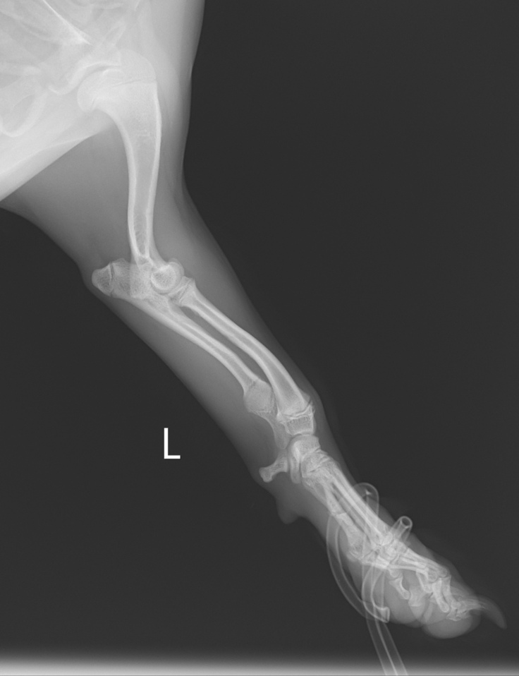
まず、レントゲン所見ではやはり手術適応に入るとのことです。ですがりくの場合は複雑に変形してしまっていて(これもミックス犬のせいだと思われます)、リスクも高い手術で整形専門の病院でやらなければならないことは勿論、やったとしても完全完治にはならないと。
(本来平行にならなければいけない関節が、緑線で曲がっていることが分かります)
私としては痛みを亡くしてあげて、ドッグランやお散歩で思いっきり遊びまわれるようになることがニーズです。先生にそれを伝えると、2種類の選択肢を提案されました。
①投薬治療、療養食へ変更
関節炎や骨に効く薬と療養食を生涯摂取することで、だましだまし、生活していく。しかしこれはずっと薬の費用が掛かってきますし、決して安い薬ではありません。手術より高額になります。ですがりくへの負担は少ないし、副作用もないし、薬がバチンと適合したら前のように過ごせるようになる可能性が高いです。ですが一生薬を飲み続け、定期的に通院して経過観察を続ける必要があります。二次疾患が併発していないか等の経過を見ないといけないからです。
(薬例。他にもいろいろ試していきます)
②手術
矯正骨切り術という、2本とも骨を切って強制的に骨の変形を治す手術をする。しかし先ほど言ったように、リスクも高い手術で整形専門の病院でやらなければならないことは勿論、やったとしても完全完治にはならない。入院期間も長く、りくにとてもとても苦痛が伴う。費用も片足最低70万円はかかりますし、順調に行ったとしてその値段です。骨のくっつきが悪かったり、再手術が必要になってくるリスクが高いです。
(矯正骨切り術)
結論として、私は今は①を選ぶことにしました。
手術をすることで100パーセント良くなる可能性がかなり低かったからです。
今の問題は痛み(関節炎)と、りくがそれによって遊べないこと。
私の判断で、①を試してみて、りくに適合する薬をまずは探すことを選びました。
幸い骨の成長は止まり、これ以上は悪くならないとのことです。
急を要するものでは無くなったので、とにかく今は痛みを取ってあげようという話になりました。
(診察を一生懸命がんばるりく)
支援者の方々には結果的に手術ではなく投薬治療という道を選び、当初とは違う治療方法を取る結果となってしまったことを深くお詫び申しあげます。支援して頂いたお金は全額りくの治療につかうことは変わりませんし、やはり手術で…となる可能性も0ではありません。
その場合はまたプロジェクトを立ち上げることもあるかと存じます。
その際はメッセージにてお知らせいたしますので、お時間ある際に拝見して頂ければ幸いです。
※今後はかかりつけ医である「エミ動物病院」で治療を続けて行こうかと考えております。
▼ネクストゴールの金額 、ネクストゴールで集める金額の資金使途
クラウドファンディングの手数料を入れ、合計130万円を予定しています。
投薬治療費用に充てさせていただきます。
もし万が一のことがあった場合には、それまでにかかった通院、検査費用等に充てさせていただき、
全額りくのために使います。
引き続き、宜しくお願い致します。
--------------------------------------------------------------------------------
▼自己紹介
皆様、こちらのページに目を止めて頂きましてありがとうございます。
はじめまして、りくの飼い主、柳原(27)と申します。
我が家はブリーダーから訳アリとして売られていた「いく」と、
ペットショップの売れ残りだった「りく」の、愛犬2匹と暮らしています。
(←りく いく→)
りくはダックスフンドとマルチーズのミックスで、現在生後10か月になります。
性格はとにかく明るく、とてもやんちゃで人見知りせず、初対面の人にも駆け寄っていって
にこにこ笑っているお茶目な子です。
いくの遊び相手の兄弟が欲しいとネットで探していた時、ペットショップで売れ残り格安で販売されていたのがりくでした。片道10時間かけお迎えに行き、昨年の10月に家族に迎えました。
(いくりく初対面)
迎えた当日からいくとの相性は良く、いつも一緒で、
尺骨形成不全が見つかるまでは2匹で部屋中を駆け回り、
ドッグランにも頻繁に行ったりと毎日楽しく遊んでいました。
(ドッグランで遊ぶいくとりく)
そして今年の2月、ある日急にりくが足を引きずって歩き始めました。
すぐに病院に連れていき精密検査をしたところ、
先天性骨疾患である「尺骨形成不全」が見つかりました…。
(診断名が乗った領収書。転院した2021.5のもの。)
▼プロジェクトを立ち上げたきっかけ
2021.2.11に尺骨形成不全と診断を受けたりく。
尺骨形成不全は、前足を支える尺骨の成長が止まってしまい、同じく支える橈骨が成長することで骨の変形がおこる難病です。進行性の病気で、だんだんと変形が進み、慢性的な炎症が起こり、関節が圧迫され、ついには歩けなくなります。
(2021.2.11撮影 この時はまだ中等度変形)
尺骨の成長が止まり、橈骨が成長し続けるため弓矢のように曲がってしまっています。
一旦は痛み止めで足の引きずりは緩和しましたが、
4月に入ってまた徐々に足を引きずるようになり、ついに歩きたがらなくなりました。
(2021.5撮影 痛みで元気がないりく)
あんなに走り回って元気だったりくが、
自分からゲージに入って横になっている時間が増えました。
急いで病院に行き精密検査を行うと、骨形成不全による関節変形の進行がかなりすすみ
両手首の慢性的な関節炎が起こっているとのことでした。
そこで骨形成が終わる8月を目処に、尺骨を切って伸ばす手術が必要だと診断されました。
これ以上悪化した場合はもっと早くに手術をする必要があります。
りくの状態を見ると、今日でも手術をしてもいいくらいだと言われました。
現在手術をしていただく「南大阪動物医療センター」と、何かあった時にすぐに行ける家の近くにある「エミ動物病院」の二件の病院にかかっております。
手術には多額の費用が掛かり、それを両足に行うので2倍になります。
私たち夫婦ともに仕事を掛け持ちして、必死に入院費・通院費・手術費用を貯めていますが
骨形成が終わる段階の8月には到底間に合いません。
(手術日を一番伸ばしてもらえた精密検査の予約表)
今でも痛みに耐えているりくを見るのはとてもつらく、
一日でも早く手術を受けさせてあげたいです。
早く痛みから解放して、あのニコニコ顔をまた見たい。楽しそうに走る姿をまた見たい。
ずっと自由に遊ばせてあげたい!!
そう思い今回このプロジェクトを立ち上げました。
▼プロジェクトの内容
りくに【尺骨形成不全】治療のための、【尺骨骨切り手術】を受けさせます。
全額手術費用に使わせていただきます
〇手術予定:できるだけ早く。一番伸ばした日にちでも8月。
〇病院:南大阪動物医療センター(整形専門の病院に転院予定)
〇手術費用:66万円(税込み)※片足33万(税込み)です。
〇クラウドファンディング手数料:11万円(税込み)
〇Nextゴール:通院費・入院費を設定できたらなと考えております。
急に決まった手術であるため、通院・入院費は現在稼いでいる段階ですが、
高額な手術費用であるまとまったお金を用意できません。
どうか皆様のお力をお貸しいただけないでしょうか。
皆様のあたたかいご支援をりくにお願いいたします。
▼プロジェクトの展望・ビジョン
まだ0歳10か月のパピー(子犬)です。まだまだ動いてやんちゃしたい盛りです。
病気になる前のように自由に走り回り歩けるようになります。
お日様に当たりながら大好きなお散歩に行けるようになります。
手術は1度きりで完治しますが、骨の変形が悪化するともう元に戻りません。
手術には時間がありません!
手術後も体調管理に気を配り、家族でりくの成長を見守っていきます。
(病気が見つかる前のりく。にこにこ笑顔です。)
(痛みが出る前。お散歩が大好きでご機嫌なりく。)
(痛みが出る前。走ることが大好きでした。)
(走った後の、この満足気な表情が私は大好きです)
どうか、またりくを走らせてあげてください。
私たち家族にお力を貸してください!!
尺骨形成不全は先天性の珍しい病気です。
この病気を克服し、同じ病気で苦しんでいる子たちに手術という選択肢があること、
手術でまた走ったり歩き回れるようになることを伝えていきたいです。
また、この病気をもっと沢山の方々に知って頂けるように活動していきたいと思っています。
※万が一、治療中や手術の期間中に亡くなってしまった場合は、
かねてより私が支援しております保護犬・保護猫活動団体様への寄付や
老犬ホームへの支援物資に使わせていただきます。
▼リターンについて
本当に微々たることになってしまうのですが、手術が無事終了しましたら感謝のメッセージと、
手術後元気になったりくの写真を送らせて頂きたいと考えています。
また、youtubeをやっていますので、そちらで支援者のお名前をご紹介します。
※コロナウイルスの影響によりプロジェクト、リターンに延期や遅延が発生する可能性も
ございます。ご了承ください。
▼最後に
長文にもかかわらずお読みいただきありがとうございます。
主治医にも「この子は受けついじゃいけない体形をしているね」と言われました。
無理なミックス犬は人間の犠牲者でしかありません。掛け合わせで失敗するとこのような病気を発症することを、広めたいです。
りくはこんなにかわいいのに、人間のせいで辛い思いをさせてしまっていること。それが辛く、申し訳なく、悲しい。なんとしても治してあげたいです。
本当は飼い主である私たちが責任を持って、お金を用意することが当たり前なのも承知しております。ですがお恥ずかしいことにそれができない現状です。
りくは私の子供です。絶対に後悔したくありません。
どうかどうか、宜しくお願い申し上げます。
▼プロジェクト終了要項
・治療・手術対象
りく(犬、mix、生後10か月、オス)
・治療・手術内容
両前足の尺骨骨切り手術
尺骨を切り、橈骨に合わせて伸ばします。
・治療・手術完了予定日
2021年8月7日
・その他
本プロジェクト実行の為に必要な金額のうち、クラウドファンディングの目標金額との差額分に関しては、自己資金で賄う予定です。(2021年5月7日現在)
クラウドファンディングが成立したにも関わらず、上記計画通り差額分を確保できなかった場合、規模を縮小して実施を予定しております。
あなたのシェアでプロジェクトをさらに応援しよう!
プロフィール
初めまして、りくの飼い主の柳原と申します。 現在2匹の愛犬「いくとりく」と暮らしています。 りくの尺骨形成不全の手術費用のご支援のお願いのため、クラウドファンディングを立上げました。どうぞよろしくお願いいたします。
あなたのシェアでプロジェクトをさらに応援しよう!
リターン
500円

りくを支える
〇感謝のメールをお送りいたします。
〇手術などに関する活動報告をお送りいたします。
〇youtubeで支援者のお名前をご紹介します。(希望者のみ)
- 申込数
- 39
- 在庫数
- 制限なし
- 発送完了予定月
- 2021年12月
1,000円

りくを応援 ①
〇感謝のメールをお送りいたします。
〇手術などに関する活動報告をお送りいたします。
〇youtubeで支援者のお名前をご紹介します。(希望者のみ)
- 申込数
- 94
- 在庫数
- 制限なし
- 発送完了予定月
- 2021年12月
500円

りくを支える
〇感謝のメールをお送りいたします。
〇手術などに関する活動報告をお送りいたします。
〇youtubeで支援者のお名前をご紹介します。(希望者のみ)
- 申込数
- 39
- 在庫数
- 制限なし
- 発送完了予定月
- 2021年12月
1,000円

りくを応援 ①
〇感謝のメールをお送りいたします。
〇手術などに関する活動報告をお送りいたします。
〇youtubeで支援者のお名前をご紹介します。(希望者のみ)
- 申込数
- 94
- 在庫数
- 制限なし
- 発送完了予定月
- 2021年12月
プロフィール
初めまして、りくの飼い主の柳原と申します。 現在2匹の愛犬「いくとりく」と暮らしています。 りくの尺骨形成不全の手術費用のご支援のお願いのため、クラウドファンディングを立上げました。どうぞよろしくお願いいたします。












