
支援総額
目標金額 1,100,000円
- 支援者
- 100人
- 募集終了日
- 2024年11月17日
10月26日 ハニーの様子とかかりつけ受診
夜中1時にまた血尿をした。血の塊が混じる😢
1時半、2時と、頻回に血尿をする…膀胱炎かな。。。
朝、7時半頃ヤギミルクを150ミリ位飲めた。
朝8時頃、メロンを外に出したら、外に出たがり立ち上がる。
外に出してあげたら転びながらもおしっこできた🥺
やっぱり足がかなり痛そう…😢
朝ごはんも用意してたら、立ち上がって、数日ぶりにキッチンの方まで歩き出す。キッチンのところで伏せながらも待ってくれてた。


カリカリふやかし、カンガルー肉と鮭を混ぜてあげた。
最初は立ったまま食べていて途中で伏せながらも頭起こして食べてくれた!
ヨーグルトもプロバイオティクスまぜて水でかさ増し大さじ3杯くらい飲んでくれた。
その後自分で立ち上がり数回おしっこした。
10時半頃には自分で起きて水を自分で飲めた!!
その後直ぐにおしっこ!量多め、血の量は少なめになってきた。
朝ごはんを食べてから14時半までに4回ほどのおしっこをした。
その後はずっと寝たきり。

でも、メロンが側にいてくれたよ🥺🩷




14時半ころ、フェンタニルパッチ張り替えてあげた。

足が痛そうなのもあり、前日に処方してもらった痛み止め(トラマール)を16時頃飲ませてあげた。
副作用で呼吸抑制が出るのが心配だったので、あえてかかりつけに受診する前に飲ませた。
16時半頃外に出してあげたら、おしっこだけしてくれた。
かかりつけ受診

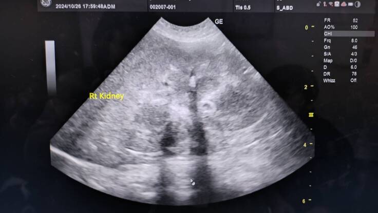
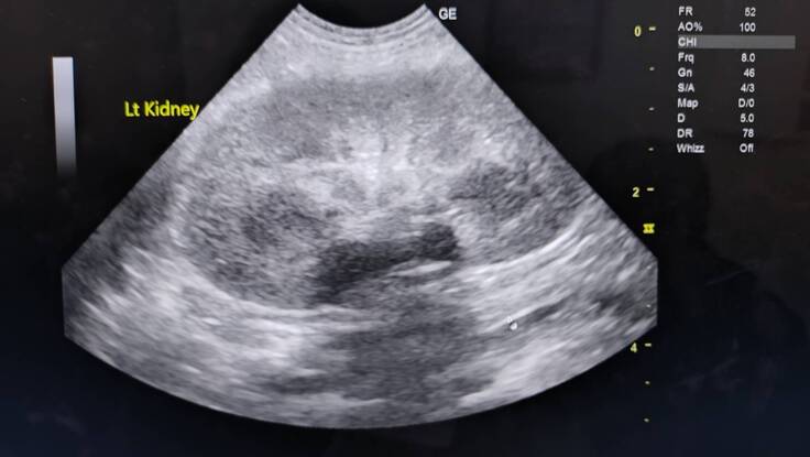
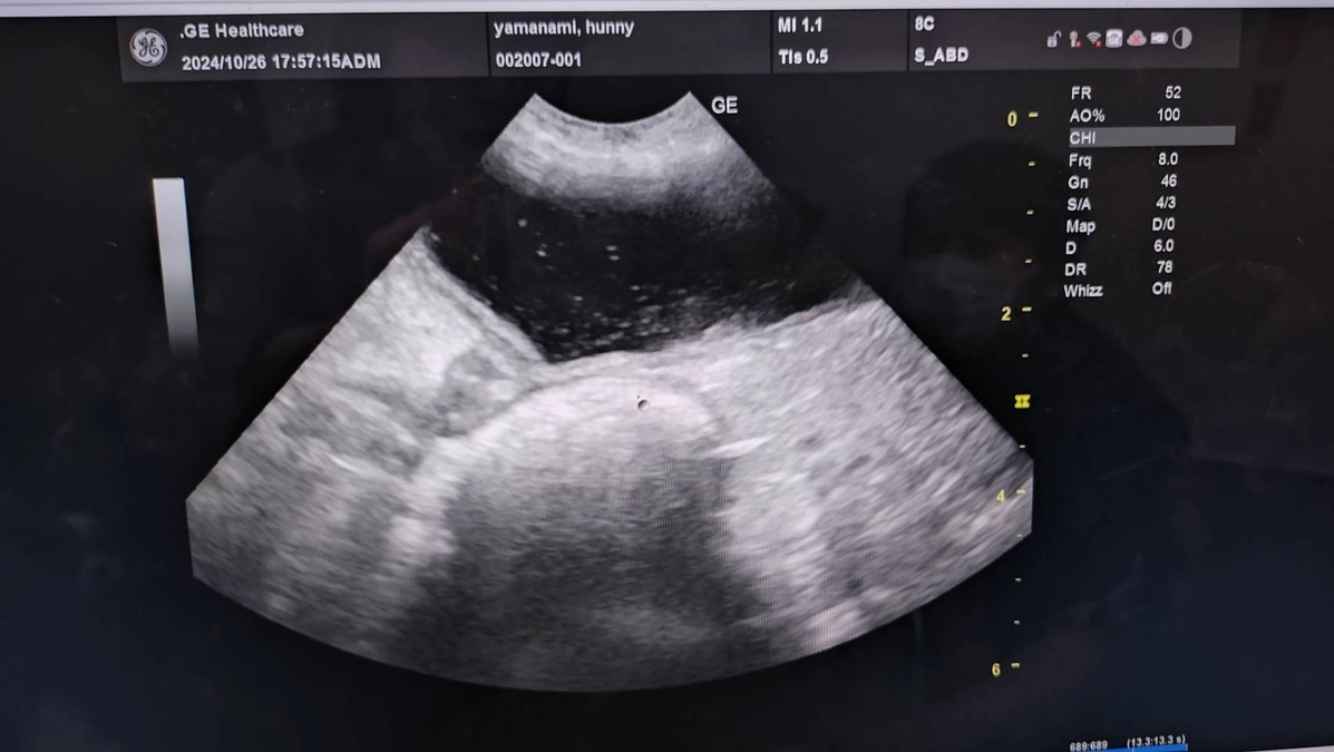
血尿は細菌性膀胱炎と診断された。
エコー写真→キラキラ白く写っているのが菌、脂肪や結石様のもの浮遊物
腎臓結石あり→悪さはしていない
右、左の腎臓も変形などなし
今のところ腫瘍とかは確認できるものはなさそう
とのこで、抗生剤の内服していくことになった。



足が痛くてトイレにあまり行けず膀胱炎になっちゃったのかな😭
腫瘍の破裂とかでなくて良かったけど…
帰宅時、フェンタニルパッチと痛み止め薬が効きすぎているのか、過鎮静で爆睡…帰宅後も全く起きずご飯食べず水も飲まず薬も飲ませられてない状態…😭
おちっこと💩もしていない…
2時間おきに強制給水してるけど、ほとんど飲まない…
点滴を21時頃してあげた。。。

心配すぎる。。。
リターン
1,000円+システム利用料

ハニーの応援1
☆写真を添えて感謝のメッセージをメールもしくはインスタグラムのDMにてお送りさせていただきます。
☆近況をインスタグラムで報告させていただきます。
- 申込数
- 48
- 在庫数
- 制限なし
- 発送完了予定月
- 2024年12月
3,000円+システム利用料

ハニー応援2
☆写真を添えて感謝のメッセージをメールもしくはインスタグラムのDMにてお送りさせていただきます。
☆近況をインスタグラムで報告させていただきます。
- 申込数
- 34
- 在庫数
- 制限なし
- 発送完了予定月
- 2024年12月
1,000円+システム利用料

ハニーの応援1
☆写真を添えて感謝のメッセージをメールもしくはインスタグラムのDMにてお送りさせていただきます。
☆近況をインスタグラムで報告させていただきます。
- 申込数
- 48
- 在庫数
- 制限なし
- 発送完了予定月
- 2024年12月
3,000円+システム利用料

ハニー応援2
☆写真を添えて感謝のメッセージをメールもしくはインスタグラムのDMにてお送りさせていただきます。
☆近況をインスタグラムで報告させていただきます。
- 申込数
- 34
- 在庫数
- 制限なし
- 発送完了予定月
- 2024年12月

ジジを助けたいです。元野良猫ジジのFIP治療費のお願い。
- 現在
- 505,000円
- 支援者
- 88人
- 残り
- 4日

救う命を選ばない。どんな犬猫も保護し続け福岡の里親さんを増やしたい
#動物
- 現在
- 3,063,000円
- 支援者
- 291人
- 残り
- 1日

猫伝染性腹膜炎を患ったポンちゃんの明日をつないで頂けないでしょうか
- 現在
- 191,000円
- 支援者
- 43人
- 残り
- 1日

老病ねこたちが最後まで安心して過ごせるおうちを守っていきたい!
- 現在
- 1,967,000円
- 支援者
- 153人
- 残り
- 8日

【発症率2%の難病】まめお(♂)を難病「門脈シャント」から救いたい
- 現在
- 802,500円
- 支援者
- 114人
- 残り
- 7日

入院する子どもたちを笑顔に!ファシリティドッグ育成基金2025
#子ども・教育
- 現在
- 6,946,000円
- 支援者
- 557人
- 残り
- 25日

行き場のない猫たちに幸せな明日を届けたい。保護猫たちの医療費支援を
- 現在
- 1,774,000円
- 支援者
- 138人
- 残り
- 29日










