
支援総額
751,000円
目標金額 750,000円
- 支援者
- 68人
- 募集終了日
- 2025年11月16日
https://readyfor.jp/projects/R70909?sns_share_token=&utm_source=pj_share_url&utm_medium=social
2025年11月01日 22:19
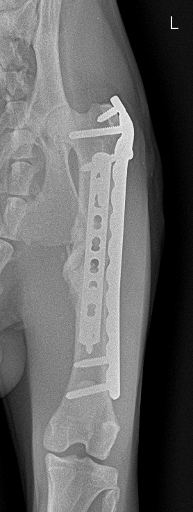
術後検診に行ってまいりました
術後1ヶ月がたった為、手術をしていただいた病院に検診に行ってまいりました。
結果としては、かなり順調に回復しているとのことです!!
回復が思っていたよりも早く、先生も驚かれておりました!
画像だと少しわかりにくいかもしれませんが、骨が癒着しぶらぶらだった状態からしっかりと固まってきております。
これまでにご支援いただいた皆様、誠にありがとうございます。
これからもどうぞハチとこのプロジェクトの応援をどうぞよろしくお願いいたします。
ご支援いただいた方々からアドバイスもいただいておりますが、
近日中にsnsを運用開始できればと思っておりますので、よろしければフォロー・拡散していただけますと大変うれしいです。
最後まで御覧いただきまして、誠にありがとうございました。
手術直後

術後1ヶ月

安静中のハチさん
リターン
1,000円+システム利用料

リターン1
感謝のメールを送らせていただきます
- 申込数
- 61
- 在庫数
- 制限なし
- 発送完了予定月
- 2026年1月
5,000円+システム利用料

リターン2
感謝のメールを送らせていただきます
- 申込数
- 18
- 在庫数
- 制限なし
- 発送完了予定月
- 2026年1月
1,000円+システム利用料

リターン1
感謝のメールを送らせていただきます
- 申込数
- 61
- 在庫数
- 制限なし
- 発送完了予定月
- 2026年1月
5,000円+システム利用料

リターン2
感謝のメールを送らせていただきます
- 申込数
- 18
- 在庫数
- 制限なし
- 発送完了予定月
- 2026年1月
1 ~ 1/ 7
このページを見た人はこんなプロジェクトもチェックしています
itk311208
和空(わく)
チョロ飼い主
老ねこケアホームしっぽのおうち 代表 千葉 ...
高橋
ノエルママ
TAKAHIRO.OZEKI

ジジを助けたいです。元野良猫ジジのFIP治療費のお願い。
69%
- 現在
- 535,000円
- 支援者
- 95人
- 残り
- 2日

【FIP 猫伝染性腹膜炎】治療費のためにご支援お願いします!
84%
- 現在
- 278,500円
- 支援者
- 59人
- 残り
- 3日

13年ケージに入れられていたチワワに手術を受けさせたい
19%
- 現在
- 211,000円
- 支援者
- 25人
- 残り
- 13日

老病ねこたちが最後まで安心して過ごせるおうちを守っていきたい!
82%
- 現在
- 2,065,000円
- 支援者
- 165人
- 残り
- 6日

置き去りにされた猫に手術を行いたい
366%
- 現在
- 366,000円
- 支援者
- 63人
- 残り
- 1日

【尿管閉塞】愛猫ノエルくんに治療費のご支援をお願い致します。
34%
- 現在
- 166,000円
- 支援者
- 29人
- 残り
- 8日

地域の野良猫を守りたい!小さな命にTNRと医療を届けるプロジェクト
48%
- 現在
- 58,000円
- 支援者
- 18人
- 残り
- 1日










