このプロジェクトでは継続的な支援を募集しています

愛Catサポーター募集|動物に優しい愛媛県にするためのご協力を!
愛Catサポーター募集|動物に優しい愛媛県にするためのご協力を!
このプロジェクトでは無期限で寄付を募集しています。「毎月」のコースで支援した場合、すでに完了した決済をキャンセルすることはできませんが、将来の決済を解約することができます。

マンスリーサポーター総計

22
このプロジェクトでは無期限で寄付を募集しています。「毎月」のコースで支援した場合、すでに完了した決済をキャンセルすることはできませんが、将来の決済を解約することができます。

    https://readyfor.jp/projects/aicat5628?sns_share_token=&utm_source=pj_share_url&utm_medium=social
    専用URLを使うと、あなたのシェアによってこのプロジェクトに何人訪れているかを確認できます
  • Facebook
  • X
  • LINE
  • note
2025年07月25日 11:33

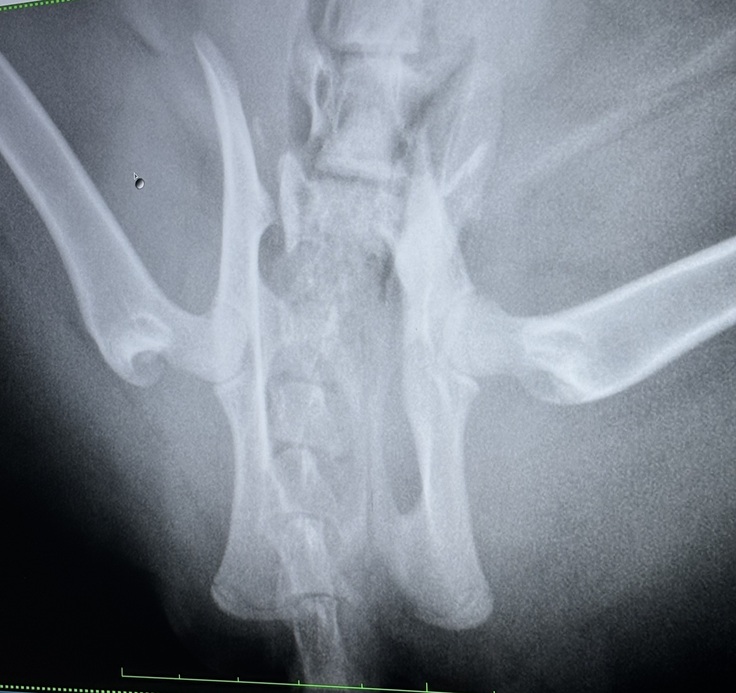
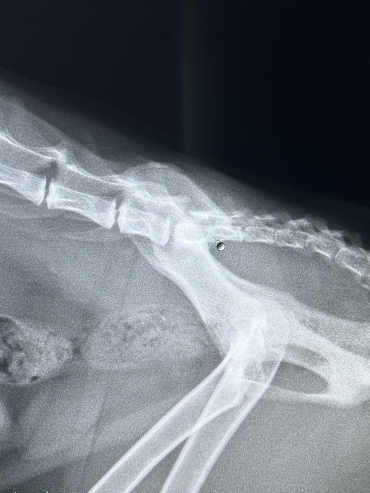
天丸!がんばれ!

 

動かない猫がいると問い合わせあり、緊急保護💦

病院に行くと骨盤骨折…

じっとしていても痛くて小さな声で鳴き、動くと痛すぎて悲鳴のような鳴き声をあげる😢

 

事故なのか、わからないけど、とにかく早く痛みをとってあげたい…

 

 

ただ、レントゲンではかなり難しい手術になりそうとのことでした…

しかし、なんとかまた天丸が元気に動けるようになるように手術をお願いしました!

 

かなり高額な手術費になりますが、天丸のこと応援していただけたら嬉しいです。

 


あなたにおすすめのプロジェクト

注目のプロジェクト

もっと見る

新着のプロジェクト

もっと見る