
寄付総額
目標金額 10,000,000円
- 寄付者
- 391人
- 募集終了日
- 2025年4月30日
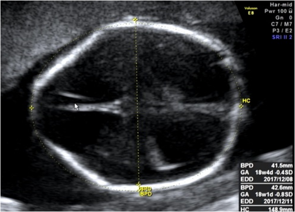
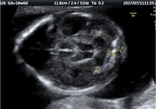
脊髄髄膜瘤の出生前診断について(レモンサインとバナナサイン)
胎児手術は妊娠25週6日までの赤ちゃんが対象になります。そのため、それまでに脊髄髄膜瘤があるかないかを出生前診断しておかなければいけません。
背中から飛び出ている脊髄髄膜瘤なので、一見簡単に診断できそうに思いますが、実際には赤ちゃんの向きや子宮の壁にくっついている場合には、簡単には見えないことも多いです。
そこで私たちは、お腹の中の赤ちゃんが脊髄髄膜瘤のときに、間接的に見えてくるサインがあるかないかも確かめています。頭の中の脳脊髄液(のうせきずいえき)が増えて、脳室が大きくなる水頭症(すいとうしょう)は分かりやすいサインです。ですが、妊娠の早い時期には脳室がまだ大きくなっていないこともあります。そのため、別に確認すべきサインがあります。
それがレモンサインとバナナサインです。
レモンサインは、赤ちゃんの頭の前方がほっそりとして、まるで頭のかたちがレモンに見えることから、その名前がつけられました。


そして、バナナサインは、赤ちゃんの小脳が脊椎の方に落ち込んで、形がバナナのように見えるようになるので、その名前がつけられました。少し無理があるようにも思いますが。


お腹の中の赤ちゃんに、レモンサインとバナナサインがないかを確かめて、もしも疑われた場合には、しっかりと出生前診断のできる施設で再確認する。そのような体制を全国で構築します。
ギフト
3,000円+システム利用料
3千円 安心して胎児手術を受けられるためのサポートを!
⚫︎寄附金領収書 ※1
⚫︎お礼のメール
⚫︎進捗報告 ※2
⚫︎大阪大学未来基金HPに寄付者のお名前掲載(ご希望制)
※1:READYFORから大阪大学に入金がある2025年6月の日付となり、2025年7月末までに送付します。
※2:本取り組みについて、発送完了予定月まで年に1回程度、定期的にご報告いたします。PDFでの報告書や動画メッセージなどを予定しています。
▽累計50万円以上のご寄附をいただいた方は、ご芳名をプレートに記し大阪大学施設に掲示。
※累計額は大阪大学クラウドファンディングを含む、大阪大学未来基金へのご寄附を累計します。大阪大学未来基金についてはHPをご覧ください。
https://www.miraikikin.osaka-u.ac.jp/
- 申込数
- 140
- 在庫数
- 制限なし
- 発送完了予定月
- 2027年3月
10,000円+システム利用料
1万円 安心して胎児手術を受けられるためのサポートを!
⚫︎寄附金領収書 ※1
⚫︎お礼のメール
⚫︎進捗報告 ※2
⚫︎大阪大学未来基金HPに寄付者のお名前掲載(ご希望制)
※1:READYFORから大阪大学に入金がある2025年6月の日付となり、2025年7月末までに送付します。
※2:本取り組みについて、発送完了予定月まで年に1回程度、定期的にご報告いたします。PDFでの報告書や動画メッセージなどを予定しています。
▽累計50万円以上のご寄附をいただいた方は、ご芳名をプレートに記し大阪大学施設に掲示。
※累計額は大阪大学クラウドファンディングを含む、大阪大学未来基金へのご寄附を累計します。大阪大学未来基金についてはHPをご覧ください。
https://www.miraikikin.osaka-u.ac.jp/
- 申込数
- 168
- 在庫数
- 制限なし
- 発送完了予定月
- 2027年3月
3,000円+システム利用料
3千円 安心して胎児手術を受けられるためのサポートを!
⚫︎寄附金領収書 ※1
⚫︎お礼のメール
⚫︎進捗報告 ※2
⚫︎大阪大学未来基金HPに寄付者のお名前掲載(ご希望制)
※1:READYFORから大阪大学に入金がある2025年6月の日付となり、2025年7月末までに送付します。
※2:本取り組みについて、発送完了予定月まで年に1回程度、定期的にご報告いたします。PDFでの報告書や動画メッセージなどを予定しています。
▽累計50万円以上のご寄附をいただいた方は、ご芳名をプレートに記し大阪大学施設に掲示。
※累計額は大阪大学クラウドファンディングを含む、大阪大学未来基金へのご寄附を累計します。大阪大学未来基金についてはHPをご覧ください。
https://www.miraikikin.osaka-u.ac.jp/
- 申込数
- 140
- 在庫数
- 制限なし
- 発送完了予定月
- 2027年3月
10,000円+システム利用料
1万円 安心して胎児手術を受けられるためのサポートを!
⚫︎寄附金領収書 ※1
⚫︎お礼のメール
⚫︎進捗報告 ※2
⚫︎大阪大学未来基金HPに寄付者のお名前掲載(ご希望制)
※1:READYFORから大阪大学に入金がある2025年6月の日付となり、2025年7月末までに送付します。
※2:本取り組みについて、発送完了予定月まで年に1回程度、定期的にご報告いたします。PDFでの報告書や動画メッセージなどを予定しています。
▽累計50万円以上のご寄附をいただいた方は、ご芳名をプレートに記し大阪大学施設に掲示。
※累計額は大阪大学クラウドファンディングを含む、大阪大学未来基金へのご寄附を累計します。大阪大学未来基金についてはHPをご覧ください。
https://www.miraikikin.osaka-u.ac.jp/
- 申込数
- 168
- 在庫数
- 制限なし
- 発送完了予定月
- 2027年3月

【緊急支援|大分市 大規模火災へのご支援を】
#医療・福祉
- 現在
- 4,971,000円
- 寄付者
- 540人
- 残り
- 39日

地域医療を守るため、ともに走ろう|ドクターカー更新プロジェクト
- 現在
- 8,455,000円
- 寄付者
- 277人
- 残り
- 28日

子宮体がん再発後も、妊娠の可能性を守るための挑戦。臨床研究の継続へ
- 現在
- 10,052,000円
- 支援者
- 327人
- 残り
- 22日

新たな命を守る1分がここにある。新生児専用救急車の更新にご支援を
- 現在
- 55,408,659円
- 寄付者
- 1,380人
- 残り
- 6日

北海道の医療の未来を担う、若き人材育成プロジェクトにご寄附を。
- 現在
- 5,009,000円
- 寄付者
- 155人
- 残り
- 28日

地域に息づく宝を次世代へ!鞆淵八幡神社の修復にご協力ください
- 現在
- 3,745,000円
- 支援者
- 212人
- 残り
- 21日

ドクタージェット、ついに全国の空へ。医療現場での普及活動にご支援を
- 総計
- 92人









