
支援総額
1,664,000円
目標金額 1,500,000円
- 支援者
- 237人
- 募集終了日
- 2025年4月23日
https://readyfor.jp/projects/Sutella?sns_share_token=&utm_source=pj_share_url&utm_medium=social
2025年08月03日 13:10
ステラを病院に連れて行きました。
前回の血液検査をしてから2週間以上がたったので、
今日はステラを病院に連れて行きました。
少し、肝臓の数値や白血球の数値のほうに異常は出ているものの
以前のように緊急を要するような状態ではないということでした。
現在は抗がん剤パラディアを3日に1回に変えているので
このままのペースで続けることになりました。
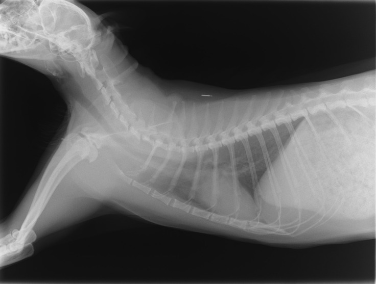
また今日はレントゲンもとりました。
肺の状態も心配だったのですが、
特に悪そうな感じもなく、ほっと一安心しました。
近いうち、全身検査をする予定です。
このまま安定して薬と上手に付き合いながら
またステラの負担にもならないように今の状態を続けさせてあげられたらと思います。
ステラは最近、洗濯機の上のコンボのえさがお気に入りのようです。
いつもステラのことを見守ってくださり
本当にありがとうございます。
検査結果や明細書などもアップさせていただきますね。










リターン
1,000円+システム利用料

ステラAコース
お礼のメールを送ります。
- 申込数
- 82
- 在庫数
- 制限なし
- 発送完了予定月
- 2025年7月
3,000円+システム利用料

ステアBコース
お礼のメールを送ります。
- 申込数
- 59
- 在庫数
- 制限なし
- 発送完了予定月
- 2025年7月
1,000円+システム利用料

ステラAコース
お礼のメールを送ります。
- 申込数
- 82
- 在庫数
- 制限なし
- 発送完了予定月
- 2025年7月
3,000円+システム利用料

ステアBコース
お礼のメールを送ります。
- 申込数
- 59
- 在庫数
- 制限なし
- 発送完了予定月
- 2025年7月
1 ~ 1/ 7
このページを見た人はこんなプロジェクトもチェックしています
チョロ飼い主
老ねこケアホームしっぽのおうち 代表 千葉 ...
東山 真理
itk311208
NPO法人セブンデイズ
島猫利尻 安達雅枝
にゃんこのしっぽ(栗原 真弓)

13年ケージに入れられていたチワワに手術を受けさせたい
16%
- 現在
- 176,000円
- 支援者
- 22人
- 残り
- 16日

老病ねこたちが最後まで安心して過ごせるおうちを守っていきたい!
75%
- 現在
- 1,890,000円
- 支援者
- 142人
- 残り
- 9日

命の危機が迫っています!僧帽弁閉鎖不全症・三尖弁閉鎖不全症
104%
- 現在
- 731,000円
- 支援者
- 61人
- 残り
- 19日

ジジを助けたいです。元野良猫ジジのFIP治療費のお願い。
59%
- 現在
- 460,000円
- 支援者
- 81人
- 残り
- 5日

救う命を選ばない。どんな犬猫も保護し続け福岡の里親さんを増やしたい
92%
- 現在
- 2,769,000円
- 支援者
- 258人
- 残り
- 2日

利尻 島猫サポーター募集!利尻島の不幸な野良猫を”ゼロ”に!!
継続寄付
- 総計
- 28人

にゃんこのしっぽサポーター募集★石垣島の捨てられた猫たちに治療を!
継続寄付
- 総計
- 124人
最近見たプロジェクト













