
支援総額
843,000円
目標金額 800,000円
- 支援者
- 68人
- 募集終了日
- 2024年2月19日
https://readyfor.jp/projects/moca1219?sns_share_token=&utm_source=pj_share_url&utm_medium=social
2024年01月25日 14:26
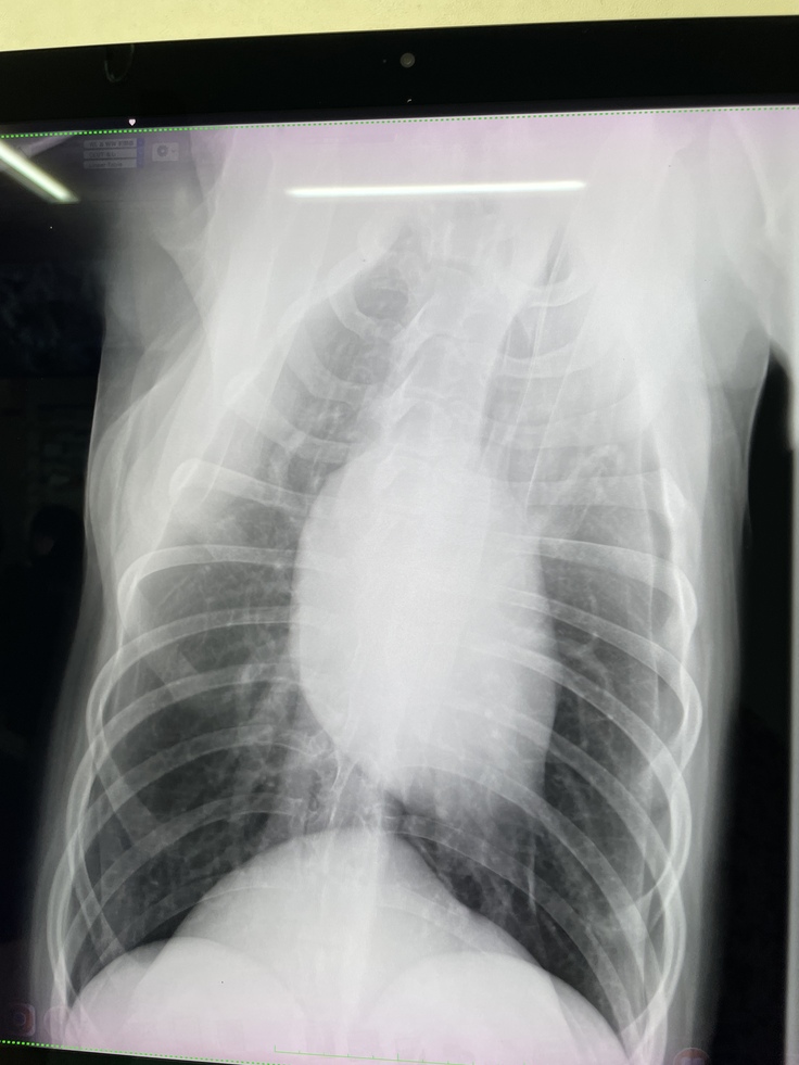
健診日でした!
今日は術後の定期検査の日でした!手と肺のレントゲンを撮ってもらいました☺︎3人がかりで鎮静剤無しでなんとかレントゲンを撮って頂けました✨費用もなるべく抑えて頂く努力をしてくださる病院の先生方に感謝です😢
モカも頑張ったね◎先生達にヨシヨシして貰ってご機嫌そうなモカでした♡肺の転移は初期とあまり変わらず、抗がん剤が上手く行ってるのかなと嬉しいお言葉を頂きました。このまま少しでも進行を緩やかにしていければいいなと思います。今回少し関節炎があるとの事で鎮痛剤の薬を貰いました。お薬増えちゃったけど頑張って飲もうね、モカ☺︎
クラウドファンディング、残り25日となりました!皆様どうか、ご支援をよろしくお願い致します。


リターン
1,000円+システム利用料
モカへのご支援1.
感謝のメールをモカの写真とご一緒に送らせて頂きます。
あまりお金をかけられず申し訳ありません。
- 申込数
- 4
- 在庫数
- 制限なし
- 発送完了予定月
- 2024年4月
1,000円+システム利用料
モカへのご支援リターン不要
リターン不要ご希望の方はこちらからお願い致します。ありがとうございます。
- 申込数
- 29
- 在庫数
- 制限なし
- 発送完了予定月
- 2024年4月
1,000円+システム利用料
モカへのご支援1.
感謝のメールをモカの写真とご一緒に送らせて頂きます。
あまりお金をかけられず申し訳ありません。
- 申込数
- 4
- 在庫数
- 制限なし
- 発送完了予定月
- 2024年4月
1,000円+システム利用料
モカへのご支援リターン不要
リターン不要ご希望の方はこちらからお願い致します。ありがとうございます。
- 申込数
- 29
- 在庫数
- 制限なし
- 発送完了予定月
- 2024年4月
1 ~ 1/ 24
このページを見た人はこんなプロジェクトもチェックしています
ポン(FIP闘病中)
東山 真理
kinakomozuku
itk311208
渡邉果菜里(NPO法人せぴうるにゃん)
石丸雅代(たんぽぽの里)
福田 佐富美(社)練馬の猫を考える会・理事

猫伝染性腹膜炎を患ったポンちゃんの明日をつないで頂けないでしょうか
128%
- 現在
- 193,000円
- 支援者
- 44人
- 残り
- 1日

命の危機が迫っています!僧帽弁閉鎖不全症・三尖弁閉鎖不全症
105%
- 現在
- 737,000円
- 支援者
- 64人
- 残り
- 18日

【4歳10ヶ月悪性リンパ腫】愛猫きなこの抗がん剤治療のためのご支援
22%
- 現在
- 199,000円
- 支援者
- 50人
- 残り
- 34日

ジジを助けたいです。元野良猫ジジのFIP治療費のお願い。
65%
- 現在
- 507,000円
- 支援者
- 89人
- 残り
- 4日

せぴうるにゃんこサポーター募集
継続寄付
- 総計
- 19人

たんぽぽの里サポーター募集中!保護活動に必要な費用にご支援を
継続寄付
- 総計
- 122人

サポーター募集中/保護猫カフェ閉店で残った猫の飼育への援助を!
継続寄付
- 総計
- 89人














