
支援総額
目標金額 200,000円
- 支援者
- 120人
- 募集終了日
- 2021年12月31日

にゃんこのしっぽサポーター募集★石垣島の捨てられた猫たちに治療を!
#動物
- 総計
- 124人

保護猫応援ファームのサポーター募集中!保護猫活動の継続支援を!
#子ども・教育
- 総計
- 13人

殺処分ゼロ!保護猫救援のための「にゃんこサポーター」様募集!
#動物
- 総計
- 88人

ゆきねこサポーター募集中|保護猫シェルター幸せの家へご支援を
#環境保護
- 総計
- 111人

あわねこサポーター ~保護猫園児の医療費のご支援を~
#まちづくり
- 総計
- 94人

【緊急支援|大分市 大規模火災へのご支援を】
#医療・福祉
- 現在
- 4,742,000円
- 寄付者
- 517人
- 残り
- 40日

救う命を選ばない。どんな犬猫も保護し続け福岡の里親さんを増やしたい
#動物
- 現在
- 3,238,000円
- 支援者
- 307人
- 残り
- 8時間
プロジェクト本文
終了報告を読む
▼自己紹介
僕は猫3匹と暮らす、28歳の普通の会社員です。
▼飼い猫の紹介
【アメリカンショートヘアー】
のんちゃん 雄♂ 5歳
【ハチワレ】
しんちゃん 雄♂ 5歳
【茶トラ】
チャチャ 雄♂ 1歳
▼プロジェクトを立ち上げたきっかけ
僕が今飼っている、
アメリカンショートヘアーの「のんちゃん」が
肥大型心筋症と気管支炎を
同時に発症してしまいました。
自分の飼い方が悪かったのか、
深く落ち込み、後悔の毎日です。
お医者さんからは、猫の場合、
肥大型心筋症は治すことは難しく、
進行を遅らせる薬を一生飲み続けるしか
治療法がありませんと言われました。
この病気がどのような病気かと言うと、
のんちゃんの場合、
左心房と右心房の間に
本来存在しない筋みたいなもの
(仮性腱策)ができてしまっていて、
心臓が膨らもうとする働きを
邪魔してしまうらしいです。
それでも心臓は頑張ろうと、
伸縮を繰り返します。
その結果、
心筋が厚くなり心臓が
肥大していくと言うものです。
のんちゃんの場合、
通常の1.5倍近く肥大していました。
心臓が肥大すると、他の血管を圧迫します。
すると血液が流れる所と
流れにくくなる所ができます。
血液が流れにくくなり、停滞すると、
そこに血栓(血の塊)を作ります。
この血栓が心臓からあらゆる血管に流れ込むと、
血管を塞ぎ、激しい痛み、麻痺、呼吸困難を
引き起こします。
最悪の場合、死に至ります。
今はまだ血栓はできてなく、
血栓ができないようにする薬で
何とかもっています。
でも、いつ血栓ができても
おかしくない状況です。
血栓ができると、
その日に亡くなってしまうケースも
多々あるそうです。
聞きたくはなかったですが、
この状態での余命は1年〜2年とのこと。
お医者さんからは、
ちょっとでも呼吸が楽になるように、
酸素室を購入するか、
レンタルした方が良いと言われました。
今後の定期的な通院代や
検査代、薬代、酸素室代を考えると、
とてもじゃないですが、
僕の金銭状況では払いきれません。
お願いです。 私の家族を助けて欲しい。
皆様の力を貸して頂きたいです。
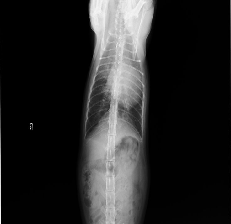
▼病気の進行状況
2019年5月頃
軽い咳が続き、心配になったので病院に連れていきました。
その時のレントゲン写真です。
この時は、肺が少し白いことから、気管支炎と診断され、
薬をもらい様子を見ることにしました。
数日経つと、薬が聞いたのか、症状も和らいだので、
そのまま様子を見ることにしました。
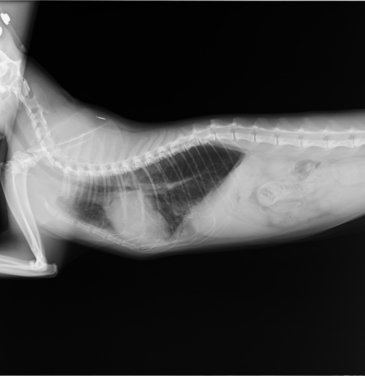
2021年9月
再び、咳の症状が出てきてきたので病院へ行きました。
その時のレントゲン写真です。
2019年のものと比べると、明らかに心臓の上部が肥大し、
位置も体の中央によっています。
ここで肥大型心筋症と診断されました。
そして、治ったと思っていた気管支炎も、まだ完治しておらず
肺がまだ若干白いままです。
ここのところ毎日咳をしていて、
苦しい姿を見るのが辛いです。
▼飼い主の願い
のんちゃん病気が
少しでも良くなるように
少しでも楽に呼吸できるように
少しでも元気になるように
少しでも走り回れるように
少しでも長生きできるように
少しでも一緒にいられるように
少しでも幸せであるように
僕は毎日祈っています。
▼プロジェクト実施スケジュール
10月下旬 プロジェクト審査
11月初旬 プロジェクト開始
12月下旬 プロジェクト終了
1月初旬 リターン発送開始
▼資金の使い道
心臓病用のキャットフード・缶詰 / 3ヶ月 = ¥16000
通院代 / 3ヶ月 = ¥10000
定期的な検査代 / 3ヶ月 = ¥50000
毎日の薬代(4種類) / 3ヶ月 = ¥20000
酸素室のレンタル代 / 3ヶ月 = ¥60000
READYFOR手数料12% = ¥24000
消費税10% = ¥20000
合計 ¥200000
※治療費にかかる金額は一生掛かってきます。
▼最後に
私と同じように、ペットが病気で苦しんでいる飼い主の方は
全国に多くいらっしゃると思います。
このような場を借りて、ご支援をお願いするのは、
非常識なことなのかもしれませんが、
のんちゃんの病気が少しでも治るなら、どんな事でもしてあげたい。
私が今まで溜めてきた運を全部使ってもいいから病気が治って欲しい。
ずっと一緒に過ごしていきたい。
命を救ってほしい。
もし、支援募集開始後に万が一のことがあった場合には、
これまでにかかった治療費にあてさせていただきます。
ご支援のほど、よろしくお願い致します。
- プロジェクト実行責任者:
- 石川 哲大
- プロジェクト実施完了日:
- 2021年12月31日
プロジェクト概要と集めた資金の使途
・心臓病のキャットフード・缶詰 / 3ヶ月 ¥16000 ・通院代 / 3ヶ月 ¥10000 ・定期的な検査代 / 3ヶ月 ¥50000 ・毎日の薬代(4種類) / 3ヶ月 ¥20000 ・酸素室のレンタル代 / 3ヶ月 ¥60000 ・READYFOR手数料12% ¥24000 ・消費税10% ¥20000 合計 ¥200000
リスク&チャレンジ
- プロジェクトに必要な金額と目標金額の差額について
- 必要金額と目標金額の差額は、自己資金で補填する予定です。 万が一、確保できなかった場合には全額返金いたします。
あなたのシェアでプロジェクトをさらに応援しよう!
プロフィール
僕が今飼っている、アメリカンショートヘアーの「のんちゃん」が肥大型心筋症と気管支炎を発症してしまいました。 一生薬を飲み続けなくてはならず、治療費も高額です。 どうかご支援をよろしくお願いいたします。
あなたのシェアでプロジェクトをさらに応援しよう!
リターン
500円

500円ご支援、誠にありがとうございます。
・お礼のe-mailメッセージ
- 申込数
- 2
- 在庫数
- 制限なし
- 発送完了予定月
- 2022年1月
500円
500円 リターンなし
リターンをご希望でない方は、こちらをお選びください。
- 申込数
- 26
- 在庫数
- 制限なし
- 発送完了予定月
- 2022年1月
500円

500円ご支援、誠にありがとうございます。
・お礼のe-mailメッセージ
- 申込数
- 2
- 在庫数
- 制限なし
- 発送完了予定月
- 2022年1月
500円
500円 リターンなし
リターンをご希望でない方は、こちらをお選びください。
- 申込数
- 26
- 在庫数
- 制限なし
- 発送完了予定月
- 2022年1月
プロフィール
僕が今飼っている、アメリカンショートヘアーの「のんちゃん」が肥大型心筋症と気管支炎を発症してしまいました。 一生薬を飲み続けなくてはならず、治療費も高額です。 どうかご支援をよろしくお願いいたします。












