
支援総額
目標金額 300,000円
- 支援者
- 138人
- 募集終了日
- 2021年9月16日

たんぽぽの里サポーター募集中!保護活動に必要な費用にご支援を
#地域文化
- 総計
- 122人

にゃんこのしっぽサポーター募集★石垣島の捨てられた猫たちに治療を!
#動物
- 総計
- 124人

あわねこサポーター ~保護猫園児の医療費のご支援を~
#まちづくり
- 総計
- 94人

保護猫応援ファームのサポーター募集中!保護猫活動の継続支援を!
#子ども・教育
- 総計
- 13人

ゆきねこサポーター募集中|保護猫シェルター幸せの家へご支援を
#環境保護
- 総計
- 111人

シンデレラサポーター募集「飼い主のいない猫」から「幸せな飼い猫」へ
#動物
- 総計
- 62人

くすのき応援隊募集|無垢な瞳に目眩い未来を!
#動物
- 総計
- 80人
プロジェクト本文
終了報告を読む
▼自己紹介
このページをご覧いただきありがとうございます。
初めまして、私は鹿児島で人間2人、10匹の猫と2匹の犬と暮らしているナギと申します。
8月31日に、皆様のご支援のおかげで無事、目標金額を達成する事が出来ました!!
途中私の入院などもありまして、ちびっぽの治療開始予定より遅れておりますが、
必ず、ちびっぽ家族に元気になってもらえるよう頑張っていきたいと思います。
▼プロジェクトを立ち上げたきっかけ
先日、会社の倉庫にケガをしている猫を保護しました。
急いで病院へ連れて行ったところ・・・
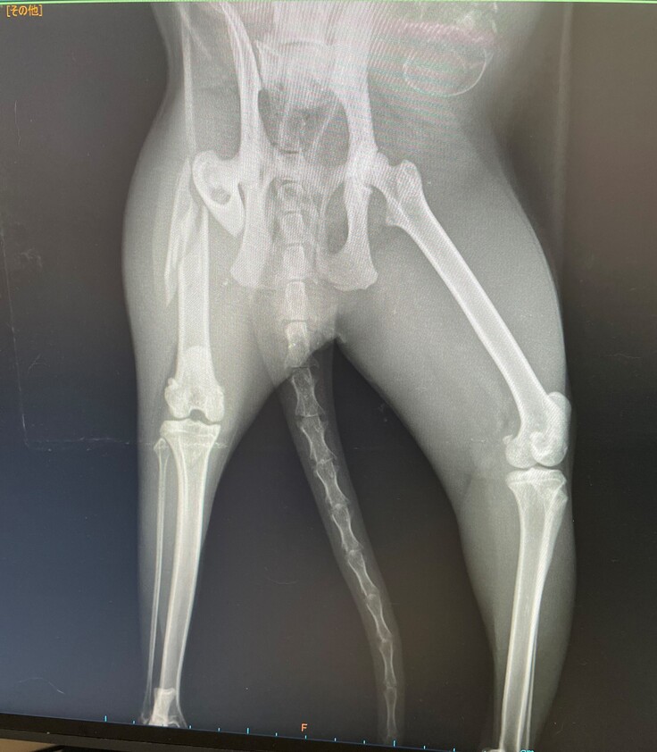
先生「太ももの骨が3か所骨折してます。2か所は自然にくっつくと思いますが、
1か所は大きくずれて骨折している為自然にくっつくのが難しいと思います。」
と言われました。
先生「治す為には、手術が必要です。手術をしない選択をした場合、今後太ももから
骨折した骨が飛び出てくる可能性があります。」
先生「後、お腹に赤ちゃんが3匹程います。心拍確認もできたので、大きさ的に2日~1週間
程で産まれます。」
母子ともに何とか助けてあげたいです。
今まで、ケガした野良猫を病院に連れて行ったり、TNRをしてきたりしてきました。
ですが、これまでの医療費とは違い、手術費と治療費がとても高額な為、私個人の経済力では限界です。
これまで、「野良猫にそんなにお金をかけて普通じゃない」とか言われてきてとても悔しい思いをしてきました。
今回の猫ちゃんも同様、心無いことを言われました。
どうか、皆様のご支援をいただきたくプロジェクトを立ち上げました。
▼今後の治療・手術の内容と予定
現在の獣医さんによる診断書と初回の治療費は以下のようになっております。
※病院で名前を聞かれたので、チビッポちゃんと名付けております。
※通院先の動物病院様の名前などはご迷惑にならないように伏せさせていただきます。
〇ブロードラインは寄生虫のお薬になります。多頭飼いの上、飼い犬がアトピー性皮膚炎で
IBD(炎症性腸疾患)の子がいますので、お家に受け入れる前に治療しました。
〇初診料ですが、0.5になっているのは、野良猫ちゃんってことなので、病院側で
配慮してくれました。本当に毎回親切に対応していただきうれしい限りです。
今後は、母子ともに助けてあげたいので、お腹の赤ちゃんの出産を待って、離乳した段階で、
チビッポちゃんの手術と治療します。(予定では8月中になると思います。)
↓
産まれてきた子猫の診察、里親募集をします。
↓
チビッポちゃんの術後の回復次第で、去勢手術予定してます。
この様な流れで治療などを行っていく予定です。
▼集まった支援金の使い道
ご支援いただいた資金は、手数料等を差し引いた金額すべてをチビッポちゃんの治療費、
手術費に使わせていただきます。
ご支援いただいた資金が余ったり、目標金額を超えた場合は、チビッポちゃんとその子供たちの
餌代、診察費用等に使わせていただきます。
※万が一、治療や手術中に亡くなってしまった場合でも返金は致しかねます。
ご了承お願い致します。
ご支援いただいた資金の残金次第で、まだ会社の周辺を縄張りにしている野良猫ちゃんが
います。出産時期になると、あなぐまが子猫を襲います。
そういった可哀そうな子猫たちを無くす為にTNRを実施できたらと思っています。
【プロジェクト終了要項】
●治療・手術対象
保護猫ちゃん(仮名ちびっぽ) 雑種 雌 推定2歳
●治療・手術内容
大腿骨の骨折3か所の手術、治療代。
妊娠している為、出産後に骨折の手術、体力回復後去勢手術を行う。
●治療・手術完了予定日
2021年10月30日
●その他
現在、妊娠している為、状況により手術の時期などが変わってくると思います。
あなたのシェアでプロジェクトをさらに応援しよう!
プロフィール
元保護猫4匹とミニチュアピンシャーと暮らしています。
あなたのシェアでプロジェクトをさらに応援しよう!
リターン
500円

保護猫ちゃんご支援①
・感謝メールを送ります。
・新着情報にて経過報告を記載します。
- 申込数
- 36
- 在庫数
- 制限なし
- 発送完了予定月
- 2021年10月
1,000円

保護猫ちゃんご支援②
・感謝のメール
・新着情報にて経過報告します。
- 申込数
- 58
- 在庫数
- 制限なし
- 発送完了予定月
- 2021年10月
500円

保護猫ちゃんご支援①
・感謝メールを送ります。
・新着情報にて経過報告を記載します。
- 申込数
- 36
- 在庫数
- 制限なし
- 発送完了予定月
- 2021年10月
1,000円

保護猫ちゃんご支援②
・感謝のメール
・新着情報にて経過報告します。
- 申込数
- 58
- 在庫数
- 制限なし
- 発送完了予定月
- 2021年10月
プロフィール
元保護猫4匹とミニチュアピンシャーと暮らしています。











