
支援総額
目標金額 580,000円
- 支援者
- 175人
- 募集終了日
- 2021年6月7日
Leoが誕生して1年一ヶ月になりました!!
先月、無事にLeoが誕生して一年を迎えることが出来ました。
昨日は三カ月検診に行ってきました。
自宅ではLeoはキャリーケースに入る時間がかからなかったのですが、
病院の診察台にキャリーケースを置き、なかなか出てこない事があり、
少し時間がかかってしまいました(;'∀')

※身体も成長しておりますが精神面でも成長していることに気付きました。
診察台にて体重を測りました:
前回3.4kg→3.6kgと増えておりました。
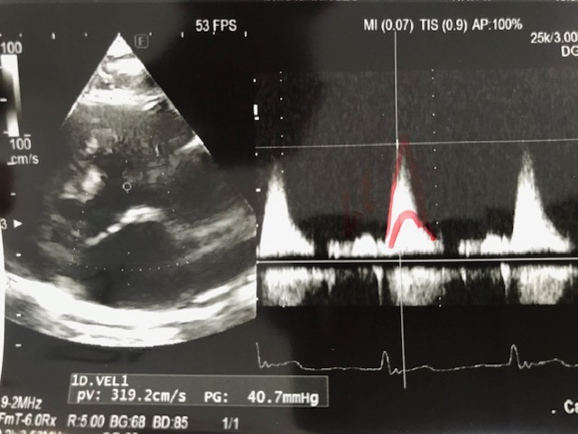
心臓の超音波検査:
三カ月前と比べて大きな変化がないとの事。

※赤丸が付いて所が心臓部(右心室・左心室)の所です。

内服薬:
フォルテコール5mg (1日1回/90日分)
今後:
術後、大きな変化が見られない事から次回の検診は
三カ月~半年ぐらいに見せに来てください。
また、口を開けたまま苦しそうな動作がありましたら
受診をお願いしますと先生からお話をいただきました。
皆様には久々の投稿となりますが、
Leoは日々、色んな所を走り駆け抜けたり飛び回って行動力が
進んでいます。危険と隣り合わせで心配な私たちですが、
一緒懸命、生きています。
一日でも永く一緒に居られるためにも、出来ることはしっかり
サポートしていきます。
最後にこれまでLeoが元気に生活出来ていることは、
皆様からのご支援があっての事です。
とても感謝をしております。有難うございます。
成長日記ということではありませんが、可能な限りTwitterにて
最近のLeoを投稿させていただいています。
Twitterアカウント:
Leoキャットheart『心臓』
@Leohear23078775
元気になった姿を見ていただければと思ってます。
これからも応援よろしくお願いします。

リターン
1,000円

総額応援コース:1,000円
●感謝の気持ちを込めたお礼メールをお送りいたします。
●Leo君の画像メールをお送りいたします。
メールのみでのリターンとさせていだき、ご支援いただいた全額を治療費に使わせていただきます。
- 申込数
- 191
- 在庫数
- 制限なし
- 発送完了予定月
- 2021年7月
5,000円

総額応援コース:5,000円
●感謝の気持ちを込めたお礼メールをお送りいたします。
●Leo君の画像メールをお送りいたします。
メールのみでのリターンとさせていだき、ご支援いただいた全額を治療費に使わせていただきます。
- 申込数
- 34
- 在庫数
- 制限なし
- 発送完了予定月
- 2021年6月
1,000円

総額応援コース:1,000円
●感謝の気持ちを込めたお礼メールをお送りいたします。
●Leo君の画像メールをお送りいたします。
メールのみでのリターンとさせていだき、ご支援いただいた全額を治療費に使わせていただきます。
- 申込数
- 191
- 在庫数
- 制限なし
- 発送完了予定月
- 2021年7月
5,000円

総額応援コース:5,000円
●感謝の気持ちを込めたお礼メールをお送りいたします。
●Leo君の画像メールをお送りいたします。
メールのみでのリターンとさせていだき、ご支援いただいた全額を治療費に使わせていただきます。
- 申込数
- 34
- 在庫数
- 制限なし
- 発送完了予定月
- 2021年6月

保護猫応援ファームのサポーター募集中!保護猫活動の継続支援を!
- 総計
- 13人

にゃんこのしっぽサポーター募集★石垣島の捨てられた猫たちに治療を!
- 総計
- 124人

シンデレラサポーター募集「飼い主のいない猫」から「幸せな飼い猫」へ
- 総計
- 62人

非営利一般社団法人日本動物虐待防止協会【 毎月サポーター】
- 総計
- 48人

殺処分ゼロ!保護猫救援のための「にゃんこサポーター」様募集!
- 総計
- 88人

たんぽぽの里サポーター募集中!保護活動に必要な費用にご支援を
- 総計
- 122人

八王子わんにゃんシェルター運営サポーター募集中!!
- 総計
- 25人
【難病】先天性門脈シャントの子ねこの命を助けて下さい。
- 支援総額
- 1,103,000円
- 支援者
- 134人
- 終了日
- 10/12

壊死性膵炎で病4度の手術をした猫グラを助けてください
- 支援総額
- 1,222,000円
- 支援者
- 115人
- 終了日
- 9/21
障がいを持った方が丁寧に育てた無農薬野菜をドレッシングに!
- 支援総額
- 78,000円
- 支援者
- 18人
- 終了日
- 8/31
【20歳アーティストの人生を描くライブペイントを開催したい!】
- 支援総額
- 375,000円
- 支援者
- 15人
- 終了日
- 2/11
個人事業主・中小企業の方々の困りごとを一緒に解決していきたい!!
- 支援総額
- 0円
- 支援者
- 0人
- 終了日
- 7/21
習慣改善で健康に!「習慣改善カレンダー」で安全で健康な生活を!
- 支援総額
- 3,000円
- 支援者
- 1人
- 終了日
- 12/20

宮城県仙台市中野栄に子供食堂をオープンいたします
- 支援総額
- 2,000円
- 支援者
- 2人
- 終了日
- 5/5










