【ご報告】漏斗胸の子猫 海を助ける事が出来ました
ご支援頂きました皆様へ
いつもお世話になっております。
漏斗胸の子猫を救いたい!という目的でクラウドファンディングを行なっていた海(かい)の飼い主です。
今回クラウドファンディング支援募集期間が終了し
海の手術費用を集めたいという目的を達成致しましたのでご報告致します。
開始当初はSNSでの拡散や活動報告等慣れない事ばかりで苦戦しておりましたが
たくさんの方に支えられ協力して頂き目標を達成する事が出来ました。
ご支援頂きました皆様、拡散方法等助言頂きました皆様、代理支援に御協力して下さった皆様、本当に心から感謝しております。
励ましのお言葉や心から海を助けたいと思って下さる方がこんなに沢山いるんだという事に
毎日毎日感動しておりました。
今回のプロジェクトは漏斗胸という先天性疾患を持つ海の2度の手術費用を賄いたい、
この子猫をなんとか助けたいと初めたプロジェクトです。
大きく凹んでしまった胸骨を本来の位置に戻す為に
1度目の手術で胸骨を引っ張り矯正する為のプレートを埋め込み、
約2ヶ月後に2度目の手術を行いプレートを取り除きます。
リスクを伴う手術でしたが、海は2度の手術に耐えてくれました。
このプロジェクトが終了する以前に、2度手術を行い無事終了しております。
経過観察は必要ですが、お医者様も問題は無いだろうとおっしゃて下さっています。
今回のプロジェクトで支援頂きました資金は全て海の手術費用に使用させて頂きます。
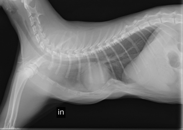
この写真は漏斗胸が発覚した際に撮影したレントゲン写真です
これは胸骨の位置を矯正する為のプレートを入れた際の写真です。

これはプレートを除去し胸骨の矯正が完了した際の写真です。

呼吸もしやすくなり日々元気にすくすく成長しています。

皆様からご支援頂きました資金¥622,000は全額 海の治療費用として使用させて頂きました。
ここで今回のプロジェクトは終了となります。
沢山の方からご支援頂きました事を感謝し、
海の猫生がより良いものになるよう精一杯努力して参ります。
私の家に来てくれた事を心から良かったと思って貰えるよう
日々海と過ごして行きます。
この度は海の為に御支援頂き本当に有難う御座いました。
感謝してもしきれません。
心より御礼申し上げます。
海 飼い主 喜多畑美代(妹 川﨑仁美)
























